Аневризма вен код мкб

Содержание
- Описание
- Дополнительные факты
- Симптомы
- Причины
- Диагностика
- Лечение
- Прогноз
- Профилактика
- Основные медицинские услуги
- Клиники для лечения
Названия
Название: Аневризма вены Галена.
Аневризма вены Галена
Описание
Аневризма вены Галена. Группа аномалий развития большой мозговой вены, образующихся в результате персистенции эмбриональных сосудов с формированием артериовенозного шунтирования. Проявляются сердечной недостаточностью, гидроцефалией, отставанием в физическом и умственном развитии. Характерна неврологическая симптоматика, возможен разрыв аневризмы с внутричерепным кровоизлиянием. Диагностика аневризмы вены Галена проводится во время пренатального УЗИ-скрининга с допплерографией. У новорожденных диагноз подтверждается при помощи КТ, МРТ, ангиографии. Лечение оперативное, осуществляется эмболизация сосудов, питающих вену.
Дополнительные факты
Аневризма вены Галена объединяет в себе множество сосудистых аномалий, связанных с нарушением эмбрионального развития большой мозговой вены. Патология встречается крайне редко, частота всех артериовенозных мальформаций головного мозга не превышает 1% среди населения всех возрастов. Патология в два раза чаще встречается у мальчиков. Актуальность проблемы в педиатрии связана с высоким уровнем смертности, который лишь незначительно снизился в последние годы (до 50-70%), несмотря на огромный прогресс сосудистой нейрохирургии. Кроме того, из-за редкой встречаемости аневризмы вены Галена большинство специалистов оказываются неподготовленными к подобным случаям. По этой причине все операции проводятся в крупных федеральных центрах.

Аневризма вены Галена
Симптомы
Ассоциированные симптомы: Одышка. Рвота. Судороги.
Причины
Питание тканей головного мозга изначально осуществляется посредством эмбриональных сосудов, стенки которых по своей структуре отличаются от нормальной сосудистой стенки. В течение 4-8 недель внутриутробной жизни эти сосуды заменяются полноценными артериями и венами. Под воздействием различных повреждающих факторов данный процесс нарушается, эмбриональные сосуды персистируют. Таким образом, образование всех артериовенозных мальформаций, в том числе аневризмы вены Галена, происходит в первом триместре беременности. Высокой тропностью к нервной и сосудистой ткани обладают многие бактерии и вирусы. Патологии развития мозговых сосудов также могут сформироваться под влиянием лекарственных препаратов, радиации и других факторов.
Аневризма вены Галена может быть представлена собственно патологическим расширением сосуда, но чаще всего речь идет о наличии множественных артериовенозных шунтов эмбрионального строения. Шунтирование приводит к сбросу артериальной крови и, соответственно, анемизации тканей головного мозга. Кроме того, повышается нагрузка на венозное русло. Как уже было сказано, строение эмбриональных сосудов отличается от обычных. В частности, они не имеют привычного мышечного слоя, именно с этим связан высокий риск разрыва шунтов. Переполненность венозного русла приводит к растяжению, вследствие чего возможно механическое сдавление сильвиева водопровода с формированием гидроцефалии.
Патология проявляется с рождения у 50% пациентов. Ведущим симптомом является сердечная недостаточность, развивающаяся в результате высокого венозного возврата крови от головного мозга и, соответственно, возрастающей нагрузки на левые отделы сердца. Поскольку аневризма вены Галена формируется еще внутриутробно, уже к рождению сердечная недостаточность отличается высоким риском декомпенсации. Клинически это выражается в усталости при кормлении, генерализованных отеках, одышке вследствие интерстициального отека легких. В дальнейшем сердечная недостаточность становится одной из причин отставания в физическом развитии.
Гидроцефалия является неблагоприятным прогностическим признаком, поскольку свидетельствует об окклюзии сильвиева водопровода или значительном объеме сброса крови в венозное русло. Голова ребенка увеличена с рождения, на ее поверхности заметны расширенные вены. Может отмечаться рвота, экзофтальм, очаговая неврологическая симптоматика в виде птоза, косоглазия. Повышение внутричерепного давления иногда сопровождается судорогами. В дальнейшем характерно отставание в умственном развитии, связанное также с недостаточным питанием тканей мозга. Реже аневризма вены Галена проявляется симптомами внутричерепного кровоизлияния: потерей сознания, судорогами.
Диагностика
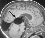
Первичная диагностика становится возможной при плановом УЗИ-скрининге в III триместре беременности. Аневризма вены Галена визуализируется как анэхогенное образование в центре головы. Для подтверждения используется цветовое допплеровское картирование. Метод отличается высокой степенью достоверности. В отсутствие дородовой диагностики установить наличие сосудистой аномалии после родов бывает проблематично. Во-первых, заболевание встречается крайне редко, поэтому становится для педиатра исключением среди множества других причин сердечной недостаточности и гидроцефалии. Во-вторых, аневризма вены Галена не всегда клинически проявляется с момента рождения.
Компьютерная томография и МРТ также широко используются в диагностических целях. На снимках можно визуализировать патологические клубки эмбриональных сосудов. Для дальнейшего планирования тактики лечения необходимо проведение ангиографии, которая позволяет установить топографические отношения с нормальными сосудами и обнаружить другие возможные сосудистые аномалии. Заподозрить тромбоз можно по результатам ангиографии, поэтому контрастное рентгенологическое исследование сосудов остается основным в диагностике аневризмы вены Галена. Именно данный метод позволяет сосудистым хирургам планировать тактику оперативного вмешательства.
Лечение
Основным методом терапии в настоящее время остается эндоваскулярная эмболизация сосудов, питающих аневризму. Рекомендованный возраст ребенка для проведения операции – 2-6 месяцев. На этапе предоперационной подготовки используются антикоагулянты для профилактики тромбоза сосудов, а также кардиотоники с целью компенсации сердечной недостаточности. При наличии признаков выраженной гидроцефалии показано наложение шунта для нормализации внутричерепного давления. Обычно проводится вентрикулоперитонеальное шунтирование. Открытые хирургические операции в лечении аневризмы вены Галена практически не применяются.
Прогноз
Прогноз заболевания чаще неблагоприятный. Развитие современных методов нейрохирургии позволило снизить смертность до 50-70%. Тем не менее, выжившие после операции дети отстают в умственном развитии, сохраняется неврологическая симптоматика. Первичная профилактика проводится пренатально.
Профилактика
При обнаружении аневризмы вены Галена на УЗИ врачи и родители определяют тактику дальнейшего ведения беременности. Большинство специалистов рекомендуют оперативное родоразрешение путем кесарева сечения с последующей терапией, описанной выше. В настоящее время смертность в таких случаях достигает 80%.
Основные медуслуги по стандартам лечения | |||||||||||||||||||||||||||||||||||||||||||||||||||||||||||||||||||
Клиники для лечения с лучшими ценами
| |||||||||||||||||||||||||||||||||||||||||||||||||||||||||||||||||||
Источник
Содержание
- Описание
- Дополнительные факты
- Симптомы
- Причины
- Диагностика
- Лечение
- Прогноз
- Профилактика
- Основные медицинские услуги
- Клиники для лечения
Названия
Название: Аневризма вены Галена.
Аневризма вены Галена
Описание
Аневризма вены Галена. Группа аномалий развития большой мозговой вены, образующихся в результате персистенции эмбриональных сосудов с формированием артериовенозного шунтирования. Проявляются сердечной недостаточностью, гидроцефалией, отставанием в физическом и умственном развитии. Характерна неврологическая симптоматика, возможен разрыв аневризмы с внутричерепным кровоизлиянием. Диагностика аневризмы вены Галена проводится во время пренатального УЗИ-скрининга с допплерографией. У новорожденных диагноз подтверждается при помощи КТ, МРТ, ангиографии. Лечение оперативное, осуществляется эмболизация сосудов, питающих вену.
Дополнительные факты
Аневризма вены Галена объединяет в себе множество сосудистых аномалий, связанных с нарушением эмбрионального развития большой мозговой вены. Патология встречается крайне редко, частота всех артериовенозных мальформаций головного мозга не превышает 1% среди населения всех возрастов. Патология в два раза чаще встречается у мальчиков. Актуальность проблемы в педиатрии связана с высоким уровнем смертности, который лишь незначительно снизился в последние годы (до 50-70%), несмотря на огромный прогресс сосудистой нейрохирургии. Кроме того, из-за редкой встречаемости аневризмы вены Галена большинство специалистов оказываются неподготовленными к подобным случаям. По этой причине все операции проводятся в крупных федеральных центрах.

Аневризма вены Галена
Симптомы
Ассоциированные симптомы: Одышка. Рвота. Судороги.
Причины
Питание тканей головного мозга изначально осуществляется посредством эмбриональных сосудов, стенки которых по своей структуре отличаются от нормальной сосудистой стенки. В течение 4-8 недель внутриутробной жизни эти сосуды заменяются полноценными артериями и венами. Под воздействием различных повреждающих факторов данный процесс нарушается, эмбриональные сосуды персистируют. Таким образом, образование всех артериовенозных мальформаций, в том числе аневризмы вены Галена, происходит в первом триместре беременности. Высокой тропностью к нервной и сосудистой ткани обладают многие бактерии и вирусы. Патологии развития мозговых сосудов также могут сформироваться под влиянием лекарственных препаратов, радиации и других факторов.
Аневризма вены Галена может быть представлена собственно патологическим расширением сосуда, но чаще всего речь идет о наличии множественных артериовенозных шунтов эмбрионального строения. Шунтирование приводит к сбросу артериальной крови и, соответственно, анемизации тканей головного мозга. Кроме того, повышается нагрузка на венозное русло. Как уже было сказано, строение эмбриональных сосудов отличается от обычных. В частности, они не имеют привычного мышечного слоя, именно с этим связан высокий риск разрыва шунтов. Переполненность венозного русла приводит к растяжению, вследствие чего возможно механическое сдавление сильвиева водопровода с формированием гидроцефалии.
Патология проявляется с рождения у 50% пациентов. Ведущим симптомом является сердечная недостаточность, развивающаяся в результате высокого венозного возврата крови от головного мозга и, соответственно, возрастающей нагрузки на левые отделы сердца. Поскольку аневризма вены Галена формируется еще внутриутробно, уже к рождению сердечная недостаточность отличается высоким риском декомпенсации. Клинически это выражается в усталости при кормлении, генерализованных отеках, одышке вследствие интерстициального отека легких. В дальнейшем сердечная недостаточность становится одной из причин отставания в физическом развитии.
Гидроцефалия является неблагоприятным прогностическим признаком, поскольку свидетельствует об окклюзии сильвиева водопровода или значительном объеме сброса крови в венозное русло. Голова ребенка увеличена с рождения, на ее поверхности заметны расширенные вены. Может отмечаться рвота, экзофтальм, очаговая неврологическая симптоматика в виде птоза, косоглазия. Повышение внутричерепного давления иногда сопровождается судорогами. В дальнейшем характерно отставание в умственном развитии, связанное также с недостаточным питанием тканей мозга. Реже аневризма вены Галена проявляется симптомами внутричерепного кровоизлияния: потерей сознания, судорогами.
Диагностика
Первичная диагностика становится возможной при плановом УЗИ-скрининге в III триместре беременности. Аневризма вены Галена визуализируется как анэхогенное образование в центре головы. Для подтверждения используется цветовое допплеровское картирование. Метод отличается высокой степенью достоверности. В отсутствие дородовой диагностики установить наличие сосудистой аномалии после родов бывает проблематично. Во-первых, заболевание встречается крайне редко, поэтому становится для педиатра исключением среди множества других причин сердечной недостаточности и гидроцефалии. Во-вторых, аневризма вены Галена не всегда клинически проявляется с момента рождения.
Компьютерная томография и МРТ также широко используются в диагностических целях. На снимках можно визуализировать патологические клубки эмбриональных сосудов. Для дальнейшего планирования тактики лечения необходимо проведение ангиографии, которая позволяет установить топографические отношения с нормальными сосудами и обнаружить другие возможные сосудистые аномалии. Заподозрить тромбоз можно по результатам ангиографии, поэтому контрастное рентгенологическое исследование сосудов остается основным в диагностике аневризмы вены Галена. Именно данный метод позволяет сосудистым хирургам планировать тактику оперативного вмешательства.
Лечение
Основным методом терапии в настоящее время остается эндоваскулярная эмболизация сосудов, питающих аневризму. Рекомендованный возраст ребенка для проведения операции – 2-6 месяцев. На этапе предоперационной подготовки используются антикоагулянты для профилактики тромбоза сосудов, а также кардиотоники с целью компенсации сердечной недостаточности. При наличии признаков выраженной гидроцефалии показано наложение шунта для нормализации внутричерепного давления. Обычно проводится вентрикулоперитонеальное шунтирование. Открытые хирургические операции в лечении аневризмы вены Галена практически не применяются.
Прогноз
Прогноз заболевания чаще неблагоприятный. Развитие современных методов нейрохирургии позволило снизить смертность до 50-70%. Тем не менее, выжившие после операции дети отстают в умственном развитии, сохраняется неврологическая симптоматика. Первичная профилактика проводится пренатально.
Профилактика
При обнаружении аневризмы вены Галена на УЗИ врачи и родители определяют тактику дальнейшего ведения беременности. Большинство специалистов рекомендуют оперативное родоразрешение путем кесарева сечения с последующей терапией, описанной выше. В настоящее время смертность в таких случаях достигает 80%.
Основные медуслуги по стандартам лечения | |||||||||||||||||||||||||||||||||||||||||||||||||||||||||||||||||||
Клиники для лечения с лучшими ценами
| |||||||||||||||||||||||||||||||||||||||||||||||||||||||||||||||||||
Источник
Медицинский эксперт статьи
х
Весь контент iLive проверяется медицинскими экспертами, чтобы обеспечить максимально возможную точность и соответствие фактам.
У нас есть строгие правила по выбору источников информации и мы ссылаемся только на авторитетные сайты, академические исследовательские институты и, по возможности, доказанные медицинские исследования. Обратите внимание, что цифры в скобках ([1], [2] и т. д.) являются интерактивными ссылками на такие исследования.
Если вы считаете, что какой-либо из наших материалов является неточным, устаревшим или иным образом сомнительным, выберите его и нажмите Ctrl + Enter.
Диагноз аневризма подколенной артерии означает очаговую дилатацию данного сосуда – аномальное расширение его стенки (в виде выпячивания), приводящее к увеличению просвета относительно нормального диаметра не менее, чем 150%.
Это заболевание системы кровообращения, частью которой являются артерии, и по МКБ-10 его код – I72.4 (Аневризма и расслоение артерии нижних конечностей).
Код по МКБ-10
I72.4 Аневризма артерии нижних конечностей
Эпидемиология
Аневризма подколенной артерии считается редким заболеванием, и его частота оценивается в популяции в 0,1–1%. Однако среди аневризм периферических артерий она является наиболее распространенной: на ее долю приходится 70-85% аневризм нижних конечностей. [1]
Как показывает клиническая статистика, распространенность данной патологии увеличивается с возрастом, достигая максимума случаев после 60-70-ти лет. Основные пациенты (95-97%) – мужчины (скорее всего из-за их предрасположенности к атеросклерозу). [2]
Наличие аневризмы подколенной артерии в 7-20% случаев (по другим данным, в 40-50%) связано с аневризмой в других сосудах. В частности, у лиц с аневризмой аорты брюшной полости частота возникновения аневризм подколенной артерий на 28% выше, чем в общей популяции.
Кроме того, у 42% пациентов (согласно другим данным, у 50–70%) отмечаются контралатеральные (двусторонние) подколенные аневризмы. [3]
Причины аневризмы подколенной артерии
Подколенная артерия (Arteria poplitea) – прямое продолжение поверхностной бедренной артерии (Arteria femoralis) – проходит между медиальной и латеральной головками икроножной мышцы (позади подколенной мышцы) и снабжает кровью ткани дистальных отделом нижней конечности. Проходя через подколенную ямку, от артерии на область коленного сустава ответвляются более мелкие сосуды, образуя кровоснабжающие данный сустав анастомозы. Далее, ниже коленного сустава, происходит бифуркация подколенной артерии с разделением на переднюю большеберцовую артерию (Arteria tibialis anterior) и большеберцово-перонеальный или большеберцово-фибулярный ствол (Truncus tibiofibularis).
На сегодняшний день точные причины аневризм, в том числе и аневризмы подколенной артерии, неизвестны. Исследователи предполагают, что причиной могут быть генетические или приобретенные дефекты медии (Tunica media) – средней оболочки артериальных сосудов, а также воспалительные процессы, в частности, воспалительный артериит. Возможно, склонность данной артерии к очаговой дилатации связана с напряжениями стенок сосуда при сгибании-разгибании коленного сустава.
Но большинство специалистов считают, что причиной подколенной аневризмы в 90% случаев является атеросклероз. [4], [5], [6]
Факторы риска
Модифицируемые факторы риска включают: дислипидемия (повышенный уровень холестерина и триглицеридов в крови), с которой связан атеросклероз, а также артериальная гипертензия, патологии соединительной ткани (такие как синдром Марфана и синдром Элер-Данлоса), курение, диабет и травмы. [7]
Немодифицируемые факторы риска включают пожилой возраст, мужской пол, кавказскую расу и семейную историю аневризматического заболевания.
Следует учитывать и наличие аневризмы в семейном анамнезе, что может быть косвенным свидетельством мутации в гене эластина или связанных с ним белков, необходимых для образования и поддержания эластичных волокон, которые влияют на механические свойства артериальных стенок.
Формирование ложной аневризмы [8], [9] обусловлено повторяющейся травмой артериальной стенки шипом остеохондромы при сгибании и разгибании колена. Эта повторяющаяся травма приводит к хроническому истиранию подколенной артерии и возникновению дефекта адвентиции с последующей псевдоаневризмой. [10], [11]
Лечение ложной аневризмы подколенного сустава заключается в хирургическом удалении экзостоза [12] и восстановлении сосудистой оси. Некоторые авторы предлагают профилактическое удаление экзостозов, расположенных на сосудистой оси, чтобы предотвратить начало таких несчастных случаев, в то время как другие предполагают, что хирургическое удаление показано в случае злокачественного изменения или когда нарушена сосудистая ось. [13]
Патогенез
Подколенная артерия – экстраорганная распределительная артерия мышечного типа; в норме ее диаметр варьируется от 0,7 до 1,5 см, но он разный по всей протяженности сосуда. А средний диаметр расширенного участка в большинстве случает доходит до 3-4 см, хотя не исключаются более значительные дилатации – вплоть до гигантских аневризм. [14]
Истинный патогенез формирования аневризмы подколенной артерии неизвестен, и его связывают с несколькими факторами.
Все больше исследований подтверждают связь патогенеза аневризм с изменениями структуры сосудистой стенки и ее биомеханических свойства. Последние напрямую зависят от компонентов внеклеточного матрикса стенки артерии, в частности, волокон эластина и коллагена, которые (вместе с гладкомышечной тканью) образуют среднюю оболочку артерии (средний слой ее стенки) – медию (Tunica media).
Доминирующим белком внеклеточного матрикса медии является зрелый эластин – гидрофобный соединительнотканный белок, структурно организованный в виде пластин, которые также имеют гладкомышечные клетки (расположенные концентрическими кольцами) и коллагеновые волокна. Благодаря эластину стенки сосудов могут обратимо растягиваться, а прочность сосудистой стенки обеспечивается волокнами коллагена.
Процесс формирования стенок сосудов, в том числе эластогенез – трансформация растворимого мономерного белка тропоэластина (продуцируемого фибро и хондробластами, клетками гладких мышц и эндотелия), происходит в период эмбрионального развития, и их структура постоянна на протяжении всей жизни.
Но при этом с возрастом или вследствие патологических воздействий структура эластичных волокон может изменяться (из-за разрушения и фрагментации). Кроме того, воспалительные процессы индуцируют синтез тропоэластина, который у взрослых не способен трансформироваться в эластин. Все это влияет на биомеханику артерий в сторону снижения эластичности и упругости их стенок.
Что касается артериальной гипертензии и атеросклероза, то повышенное давление обусловливает растяжение стенок артерии, проходящей через подколенную ямку. А отложение холестерина на интиме сосудистой стенки создает зоны сужения артерии, приводящие к локальной турбулентности кровотока, которая повышает давление на ближайший участок сосуда и влечет уменьшение толщины его стенки и изменение структуры медиального слоя.
Симптомы аневризмы подколенной артерии
Первые признаки подколенной аневризмы, которая на начальной стадии почти к половины пациентов бывает бессимптомной, проявляются наличием прощупываемой пульсирующей массы в подколенной ямке.
Клинические проявления аневризм включают: разрывы (5,3%); тромбоз глубоких вен (5,3%); компрессия седалищного нерва (1,3%); ишемия ног (68,4%) и бессимптомные пульсирующие образования 15 (19,7%). [15]
Согласно исследованию 2003 года маленькие аневризмы подколенной артерии были связаны с более высокой частотой тромбозов, клинических симптомов и дистальной окклюзии. [16]
По мере прогрессирования патологического процесса отмечаются парестезия в ноге и боль под коленом, которые являются следствием сдавления малоберцового и большеберцового нерва. Также боль может возникать в кожных покровах медиальной стороны голени, лодыжки или ступни.
Из-за компрессии подколенной вены отекают мягкие ткани голени. А при прогрессирующем сужении просвета Arteria poplitea, связанном с образованием тромба, появляется такой симптом, как перемежающаяся хромота.
В случаях острого тромбоза аневризмы боль усиливается и становится более резкой, кожа на ноге бледнеет (из-за ишемии), пальцы на стопе холодеют и становятся синюшными (развивается их цианоз).
Формы
Аневризма артерии под коленом может затронуть одну конечность или обе, и будет диагностироваться, соответственно, как одно или двусторонняя.
По форме различают такие виды аневризмы подколенной артерии, как веретенообразная и саккулярная (в виде мешочка). Большинство аневризм подколенной артерии являются веретенообразными, и на долю двусторонних приходится до трети случаев.
Осложнения и последствия
Аневризмы подколенной артерии вызывают тромбоз (образования кровяного сгустка) и эмболизацию (перемещение фрагментов сгустка в более мелкие сосуды) – с высоким риском потери конечности. И это их главные последствия и осложнения.
По некоторым данным, тромбоз аневризматического мешка происходит в 25-50% случаев, что вызывает ишемию тканей конечности с частотой потери конечностей от 20% до 60% и смертностью до 12%. [17] А дистальная эмболия, приводящая к окклюзии сосудов, выявляется у 6-25% пациентов с аневризмой подколенной артерии. [18]
В каждом четвертом случае тромбоэмболии возникает необходимость в ампутации пораженной конечности.
Разрыв аневризмы подколенной артерии в среднем отмечается в 3-5% случаев. Подколенные аневризмы обычно разрываются в подколенное пространство, ограниченное мышцами и сухожилиями. Основными симптомами являются боль и припухлость. [19]
Диагностика аневризмы подколенной артерии
Визуализация имеет решающее значение при проведении диагностики аневризмы подколенной артерии.
Инструментальная диагностика использует:
- стандартную ангиографию с контрастированием;
- двухмерную ультрасонографию или дуплексное сканирование артерий нижних конечностей;
Ультразвуковые методы очень эффективны при скрининге болезненных образований подколенного пространства. Эти методы легко дифференцируют подколенные кисты от тромбофлебита и, кроме того, позволяют проводить последовательную оценку без дискомфорта для пациента. [20]
- КТ или МР-ангиографию.
Периферический артериальный кровоток исследуется с помощью ультразвуковой допплерографии сосудов нижних конечностей.
Дифференциальная диагностика
Дифференциальная диагностика учитывает возможность наличия у пациентов имеющих сходную симптоматику:
- кистозной адвентициальной болезни – кисти внешней оболочки стенки подколенной артерии (или кисты Бейкера);
- воспаления подколенного лимфатического узла;
- варикозное расширение подколенной вены;
- киста адвентиции (внешней оболочка стенки) подколенной артерии,
- синдром ущемления дистопической подколенной артерии (синдром «ловушки»).
Лечение аневризмы подколенной артерии
На бессимптомными ?