Гипертрофический гингивит код мкб

Связанные заболевания и их лечение
Описания заболеваний
Содержание
- Описание
- Дополнительные факты
- Причины
- Классификация
- Симптомы
- Диагностика
- Лечение
- Прогноз
- Профилактика
Названия
Название: Гипертрофический гингивит.
Гипертрофический гингивит
Описание
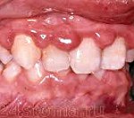
Гипертрофический гингивит. Воспалительные изменения тканей десны, сопровождающиеся их разрастанием (гипертрофией) с образованием ложных зубодесневых карманов, закрывающих зубную коронку. Клинические проявления гипертрофического гингивита характеризуются отечностью, жжением, гиперемией и кровоточивостью десен (при прикосновении, чистке зубов, во время еды), болевой реакцией на горячую, холодную или кислую пищу, неэстетичностью внешнего вида десны. Диагностика гипертрофического гингивита включает в себя осмотр и пальпацию десен, определение стоматологических индексов, проведение рентгенологического исследования. В лечении гипертрофического гингивита используется местная противовоспалительная терапия, склеротерапия, физиотерапия, диатермокоагуляция десневых сосочков, гингивэктомия.
Дополнительные факты
Гипертрофический (гиперпластический) гингивит – форма хронического гингивита, протекающая с преобладанием пролиферативных процессов в тканях десны. В стоматологии гипертрофический гингивит диагностируется у 3-5% лиц, страдающих заболеваниями пародонта. Развитию гипертрофического гингивита обычно предшествует длительно текущее катаральное воспаление тканей десны (катаральный гингивит). Гипертрофический гингивит может являться самостоятельным заболеванием или сопутствовать обострению генерализованного пародонтита. При гипертрофическом гингивите, несмотря на существенное увеличение объема тканей десны, целостность зубоэпителиального прикрепления не нарушена, а патологические изменения в костной ткани альвеолы отсутствуют.

Гипертрофический гингивит
Причины
В развитии гипертрофического гингивита могут принимать участие местные и общие факторы. В числе локальных причин наибольшее значение принадлежит нарушениям прикуса (глубокий прикус, открытый прикус), аномалиям отдельных зубов (скученность, сверхкомплектные зубы, скручивание); зубным отложениям (зубному налету и зубному камню); низкому прикреплению уздечки; механической травме десны неправильно установленными пломбами, нерационально подобранными зубными протезами; неудовлетворительной гигиене полости рта при ношении ортодонтических аппаратов.
В ряду общих факторов, способствующих развитию гипертрофического гингивита, ведущая роль отводится изменениям гормонального статуса, поэтому заболевание нередко развивается в период полового созревания, беременности, климакса. Иногда в качестве самостоятельных форм в пародонтологии выделяют юношеский гипертрофический гингивит и гипертрофический гингивит беременных. Среди прочих причин гипертрофического гингивита следует отметить эндокринные заболевания (сахарный диабет, патологию щитовидной железы), прием некоторых групп лекарственных препаратов (антиэпилептических средств, блокаторов кальциевых каналов, иммуносупрессивных средств, оральных контрацептивов и тд ), гиповитаминозы, лейкоз.
Классификация
По распространенности патологических изменений различают локализованный (в области 1-5 зубов) и генерализованный гипертрофический гингивит. Иногда локализованные поверхностные формы гипертрофического гингивита выделяются в отдельное заболевание – папиллит.
В зависимости от типа гиперпластических процессов гипертрофический гингивит может протекать в отечной (воспалительной) и фиброзной (гранулирующей) форме. Морфологические изменения при отечной форме гипертрофического гингивита включают отек соединительнотканных волокон десневых сосочков, расширение сосудов, лимфоплазмоцитарную инфильтрацию тканей десны. При фиброзной форме гипертрофического гингивита микроскопически обнаруживается пролиферация соединительнотканных волокон десневых сосочков, утолщение коллагеновых волокон, явления паракератоза при минимальной выраженности отека и воспалительной инфильтрации.
С учетом разрастания тканей десны выделяют три степени гипертрофического гингивита:
• легкую. Гипертрофия десневых сосочков у основания; разросшийся край десны прикрывает коронку зуба на 1/3;
• среднюю. Прогрессирующее увеличение и куполообразное изменение формы десневых сосочков; разросшаяся десна наполовину закрывает зубные коронки;
• тяжелую. Ярко выраженная гиперплазия десневых сосочков и края десны, которая закрывает собой зубную коронку более чем на 1/2 высоты.
Симптомы
Отечная форма гипертрофического гингивита характеризуется жжением, болезненностью и кровоточивостью десен при чистке зубов и приеме пищи, гипертрофией межзубных сосочков, ярко-красным цветом десны. При стоматологическом осмотре обнаруживается увеличение и отечность десневых сосочков, их гиперемия с синюшным оттенком, глянцевый блеск, кровоточивость при зондировании; наличие зубных отложений. Типично образование ложных зубодесневых карманов, содержащих детрит. Целостность зубодесневого соединения при гипертрофическом гингивите не нарушена.
При фиброзном гипертрофическом гингивите на первый план выступают жалобы на массивность десен, их плотность на ощупь, неудовлетворительный эстетический вид. Разросшаяся десна может мешать пережевыванию пищи. Десны бледно-розового цвета, безболезненные, имеют неровную, бугристую поверхность, при контакте не кровоточат. Осмотр выявляет присутствие мягких и твердых поддесневых отложений.
Ассоциированные симптомы: Металлический привкус во рту. Потеря веса.
Диагностика
В план обследования пациента с гипертрофическим гингивитом входит определение индекса гигиены, пародонтального индекса, папиллярно–маргинально–альвеолярного индекса (РМА), проведение пробы Шиллера-Писарева, при необходимости – биопсия и морфологическое исследование тканей десны. При проведении рентгенографии (внутриротовой, панорамной, ортопантомографии), как правило, изменений не обнаруживается либо (при длительном течении гипертрофического гингивита) выявляются остеопороз верхушек межзубных перегородок.
В рамках дифференциальной диагностики исключатся фиброматоз десен, эпулис, разрастание десен при пародонтите. Пациенты с гипертрофическим гингивитом и сопутствующими заболеваниями должны быть проконсультированы врачами-специалистами соответствующего профиля: гинекологом, эндокринологом, гематологом и тд.
Лечение
Пациентам с гипертрофическим гингивитом требуется помощь стоматолога-терапевта, гигиениста, пародонтолога, ортопеда. Терапия отечной формы гипертрофического гингивита включает удаление зубных отложений, обработку слизистой оболочки полости рта антисептиками, пародонтологические аппликации, ротовые ванночки и полоскания отварами трав, физиотерапию (электрофорез, гальванизацию, дарсонвализацию, ультразвук, лазеротерапию), массаж десен. При неэффективности местных противовоспалительных мероприятий проводится склерозирующая терапия – инъекционное введение в десневые сосочки растворов хлорида или глюконата кальция, глюкозы, этилового спирта под местной анестезией.
С целью уменьшения отечности и воспаления при гипертрофическом гингивите производится втирание в десневые сосочки гормональных мазей, инъекции стероидных гормонов. В лечении фиброзного гипертрофического гингивита консервативные методы, как правило, оказываются неэффективными. В этом случае на первый план выходят криодеструкция или диатермокоагуляция гипертрофированных сосочков и гингивэктомия – хирургическое иссечение разросшегося участка десны.
Местное лечение гипертрофического гингивита также должно включать устранение травмирующих факторов: замену пломб, реставрацию зубов, устранение дефектов протезов, пришлифовывание окклюзионных поверхностей, ортодонтическое лечение, пластику уздечек губ и языка и пр. Критериями излеченности гипертрофического гингивита служит исчезновение внешних изменений вида десны и субъективных ощущений, нормализация стоматологических индексов, отсутствие ложных зубодесневых карманов.
Прогноз
При ювенильном гипертрофическом гингивите и гингивите беременных имеет смысл ограничиться консервативным лечением, поскольку после нормализации гормонального фона и родов гиперплазия десен уменьшается или исчезает полностью. Гипертрофический гингивит склонен к рецидивированию, поэтому важным является устранение всех провоцирующих местных и общих факторов.
Профилактика
Профилактика гипертрофического гингивита сводится к исключению хронического механического травмирования десны, регулярному проведению профессиональной гигиены полости рта, правильному гигиеническому уходу за зубами и деснами, решению стоматологических проблем пациента. Крайне важным является терапия эндокринных заболеваний, рациональный подбор лекарственных препаратов.
Источник
К05 Гингивит и болезни пародонта
К05.0 Острый гингивит
К05.00 Острый стрептококковый гингивостоматит
К05.08 Другой уточненный острый гингивит
К05.1 Хронический гингивит
К05.10 Хронический гингивит. Простой маргинальный
К05.11 Хронический гингивит. Гиперпластический
К05.12 Хронический гингивит. Язвенный
К05.13 Хронический гингивит. Десквамативный
К05.18 Другой уточненный хронический гингивит
К05.19 Хронический гингивит неуточненный
Классификация острого язвенного гингивита по МКБ-10.
Класс: Некоторые инфекционные и паразитарные болезни
Блок: Другие болезни вызванные спирохетами
А69.10 Острый некротический язвенный гингивит (фузоспирохетный гингивит), (гингивит Венсана)
Катаральный гингивит.( К05.10 Простой маргинальный гингивит)
В клинике встречается преимущественно в виде хронического воспаления или его обострений. Острый обычно бывает симптомом острой респираторной инфекции.
Распространенность катаральною гингивита во многом зависит от этиологичесских факторов. Локализованный гингивит возникает при наличии местных причин. Проявление генерализованного катарального гингивита связано с изменением реактивности организма при заболеваниях желудочно-кишечного тракта, гормональных нарушениях (щитовидной и половых желез), инфекционных заболеваниях и др.
Клиника катаральною гингивита обусловлена морфологическими изменениями, происходящими в эпителии и подлежащей к нему соединительной ткани. В эпителии определяются участки десквамации, отек, признаки паракератоза и акантоза, увеличении кислых гликозаминогликанов и гликогена. В шиповатом слое эпителия, уменьшается содержание белка, резко снижено содержание РНК.
В соединительной ткани – хроническое воспаление: отек, гиперемия, стаз, накопление лимфоцитов и плазматических клеток.
В структуре основного вещества наблюдаются биохимические сдвиги, свидетельствующие об уменьшении активности окислительно-восстановительных ферментов. Эпителиальное прикрепление при этом не нарушается.
Клиника катарального гингивита зависит в значительной степени от его тяжести, связанной со степенью вовлечения десны в патологический процесс.
Для гингивита в легкой степени характерно поражение межзубной десны, средней тяжести – межзубной и альвеолярной, для тяжелого – поражение всей десны, включая альвеолярную.
При хроническом катаральном гингивите легкой степени больные обычно к врачу не обращаются. В дальнейшем больные жалуются на кровоточивость десен при чистке зубов, приеме твердой пищи, чувство жжения, распирания в деснах. Общее состояние больных не нарушено.
При осмотре обнаруживается гиперемия и отек десен, десневой край теряет свой фестончатый контур.
При инструментальном обследовании определяется кровоточивость десен, мягкий налет и наличие наддесневого зубного камня. При введении пародонтологического зонда в зубодесневую борозду нарушение целостности зубодесневого соединения нет, зубодесневой карман отсутствует. Симптом кровоточивости положительный.
При дополнительных методах обследования определяется положительная проба Шиллера-Писарева. Значение индекса гигиены больше 1.0, РМА – больше “0”. Понижена стойкость капилляров при вакуумной пробе Кулаженко.
Напряжение кислорода в десне (полярографический метод) при хроническом катаральном гингивите понижено. На реопародонтографической кривой выявляются изменения ее формы, свидетельствующие либо о выраженной дилятации сосудистой стенки, что в прогностическом плане лучше или конфигурация кривой свидетельствует о констрикции стенки сосудов. На рентгенограмме изменений вершин межзубных перегородок нет.
Очень важны клинические тесты, позволяющие выявить доклинические признаки гингивита, так как это позволит осуществлять профилактику клинического проявления гингивита. К этим тестам прежде всего относят проявления симптома кровоточивости при зондировании зубодесневой, борозды, изучение состава и количества зубодесневой жидкости и др. Следует учесть, что морфологические признаки воспаления определяются еще в клинически интактной десне.
Гипертрофический гингивит ( К05.11 Хронический гиперпластический гингивит)
Может проявляться в двух вариантах: в отечной и фиброзной формах.
В этиопатогенезе гипертрофического гингивита существенное значение имеют изменения гормонального фона (юношеский гингивит, гингивит беременных), прием лекарственных средств (контрацептивы, дифенин и др.), заболевания крови (лейкемические ретикулезы). В этиологии локализованного гипертрофического гингивита имеют значение местные факторы: аномалии прикуса (глубокий, открытый, перекрестный), аномалии положения зубов (скученность, сверхкомплектные зубы), дефекты прорезывания.
Морфологически отечная форма гипертрофического гингивита помимо отека эпителия и основного вещества соединительной ткани, увеличения кислых гликозаминогликанов характеризуется расширением и пролиферацией капилляров, что создает увеличение массы десны. Наблюдается обильная и разнообразная клеточная инфильтрация (лейкоциты, плазматические и тучные клетки, лимфоциты).
Клинически при отечной форме гипертрофического гингивита больные помимо жалоб на кровоточивость десен при еде, при чистке зубов предъявляют жалобы на косметический дефект, связанный с увеличением объема десны. Гипертрофический гингивит при котором гипертрофия десны не превышает 1/3 длины коронки зуба называют легким. Гипертрофический гингивит средней тяжести характеризуется более выраженной деформацией десны – до 1/2 коронки зуба. при тяжелой – десна покрывает 2/3 или всю коронку зуба.
Объективно отечная форма гипертрофического гингивита характеризуется увеличением десны, глянцево-синюшной поверхностью, кровоточивостью при зондировании зубодесневой борозды, иногда при дотрагивании, образованием ложных зубодесневых карманов. Эпителиальные прикрепления не нарушены.
Фиброзная форма гипертрофического гингивита морфологически характеризуется ороговением эпителия по типу паракератоза, утолщением его и пролиферацией в глубину соединительной ткани. В строме наблюдается пролиферация фибробластов и грубение и пролиферация коллагеновых структур, уплотнение стенок сосудов, редкие очаги воспалительной инфильтрации. Эпителиальное прикрепление не нарушено. Эта форма гингивита в начале заболевания больных обычно не беспокоит. По мере развития (средняя и тяжелая степень) больных беспокоит разрастание десен, косметические дефекты. Объективно выявляется деформация десны, которая имеет бледно-розовый цвет, плотная с бугристой поверхностью. Кровоточивость отсутствует, определяются ложные зубодесневые карманы.
Язвенный гингивит – представляет собой деструктивную форму воспаления, в этиопатогинезе которого существенную роль играет изменение реактивности организма и, следовательно, снижение резистентности десны к аутоинфекции полости рта (особенно к грамотрицательным бактериям, фузоспирохетозу).
Этому состоянию может предшествовать острое респираторное заболевание. стрессовые ситуации, переохлаждение. Провоцирующую роль играет плохая гигиена полости рта и зубной камень, наличие множественных кариозных полостей, затрудненное прорезывание зуба мудрости.
Язвенный гингивитхарактеризуется острой болью, кровоточивостью десен, затрудненным приемом пищи, общим недомоганием, повышением температурой. При осмотре десна имеет сероватый цвет, десневые сосочки некротизированы, обилие мягкого зубного налета.
Тяжесть язвенного гингивита определяется не только степенью поражения десны (межзубной, маргинальной или альвеолярной), но и выраженностью общей интоксикации, (повышение температуры тела, изменения периферической крови: лейкоцитоз, ускоренная СОЭ, сдвиг влево).
При диагностике язвенного гингивита надо проявлять настороженность в плане исключения заболеваний крови (лейкоз, агранулоцитоз), для которых очень характерны язвенно-некротические поражения десны.
Читайте также:
Рекомендуемые страницы:
©2015-2021 poisk-ru.ru
Все права принадлежать их авторам. Данный сайт не претендует на авторства, а предоставляет бесплатное использование.
Дата создания страницы: 2017-07-02
Нарушение авторских прав и Нарушение персональных данных
Источник
Связанные заболевания и их лечение
Описания заболеваний
Содержание
- Описание
- Дополнительные факты
- Причины
- Классификация
- Симптомы
- Диагностика
- Лечение
- Прогноз
- Профилактика
Названия
Название: Гипертрофический гингивит.
Гипертрофический гингивит
Описание
Гипертрофический гингивит. Воспалительные изменения тканей десны, сопровождающиеся их разрастанием (гипертрофией) с образованием ложных зубодесневых карманов, закрывающих зубную коронку. Клинические проявления гипертрофического гингивита характеризуются отечностью, жжением, гиперемией и кровоточивостью десен (при прикосновении, чистке зубов, во время еды), болевой реакцией на горячую, холодную или кислую пищу, неэстетичностью внешнего вида десны. Диагностика гипертрофического гингивита включает в себя осмотр и пальпацию десен, определение стоматологических индексов, проведение рентгенологического исследования. В лечении гипертрофического гингивита используется местная противовоспалительная терапия, склеротерапия, физиотерапия, диатермокоагуляция десневых сосочков, гингивэктомия.
Дополнительные факты
Гипертрофический (гиперпластический) гингивит – форма хронического гингивита, протекающая с преобладанием пролиферативных процессов в тканях десны. В стоматологии гипертрофический гингивит диагностируется у 3-5% лиц, страдающих заболеваниями пародонта. Развитию гипертрофического гингивита обычно предшествует длительно текущее катаральное воспаление тканей десны (катаральный гингивит). Гипертрофический гингивит может являться самостоятельным заболеванием или сопутствовать обострению генерализованного пародонтита. При гипертрофическом гингивите, несмотря на существенное увеличение объема тканей десны, целостность зубоэпителиального прикрепления не нарушена, а патологические изменения в костной ткани альвеолы отсутствуют.

Гипертрофический гингивит
Причины
В развитии гипертрофического гингивита могут принимать участие местные и общие факторы. В числе локальных причин наибольшее значение принадлежит нарушениям прикуса (глубокий прикус, открытый прикус), аномалиям отдельных зубов (скученность, сверхкомплектные зубы, скручивание); зубным отложениям (зубному налету и зубному камню); низкому прикреплению уздечки; механической травме десны неправильно установленными пломбами, нерационально подобранными зубными протезами; неудовлетворительной гигиене полости рта при ношении ортодонтических аппаратов.
В ряду общих факторов, способствующих развитию гипертрофического гингивита, ведущая роль отводится изменениям гормонального статуса, поэтому заболевание нередко развивается в период полового созревания, беременности, климакса. Иногда в качестве самостоятельных форм в пародонтологии выделяют юношеский гипертрофический гингивит и гипертрофический гингивит беременных. Среди прочих причин гипертрофического гингивита следует отметить эндокринные заболевания (сахарный диабет, патологию щитовидной железы), прием некоторых групп лекарственных препаратов (антиэпилептических средств, блокаторов кальциевых каналов, иммуносупрессивных средств, оральных контрацептивов и тд ), гиповитаминозы, лейкоз.
Классификация
По распространенности патологических изменений различают локализованный (в области 1-5 зубов) и генерализованный гипертрофический гингивит. Иногда локализованные поверхностные формы гипертрофического гингивита выделяются в отдельное заболевание – папиллит.
В зависимости от типа гиперпластических процессов гипертрофический гингивит может протекать в отечной (воспалительной) и фиброзной (гранулирующей) форме. Морфологические изменения при отечной форме гипертрофического гингивита включают отек соединительнотканных волокон десневых сосочков, расширение сосудов, лимфоплазмоцитарную инфильтрацию тканей десны. При фиброзной форме гипертрофического гингивита микроскопически обнаруживается пролиферация соединительнотканных волокон десневых сосочков, утолщение коллагеновых волокон, явления паракератоза при минимальной выраженности отека и воспалительной инфильтрации.
С учетом разрастания тканей десны выделяют три степени гипертрофического гингивита:
• легкую. Гипертрофия десневых сосочков у основания; разросшийся край десны прикрывает коронку зуба на 1/3;
• среднюю. Прогрессирующее увеличение и куполообразное изменение формы десневых сосочков; разросшаяся десна наполовину закрывает зубные коронки;
• тяжелую. Ярко выраженная гиперплазия десневых сосочков и края десны, которая закрывает собой зубную коронку более чем на 1/2 высоты.
Симптомы
Отечная форма гипертрофического гингивита характеризуется жжением, болезненностью и кровоточивостью десен при чистке зубов и приеме пищи, гипертрофией межзубных сосочков, ярко-красным цветом десны. При стоматологическом осмотре обнаруживается увеличение и отечность десневых сосочков, их гиперемия с синюшным оттенком, глянцевый блеск, кровоточивость при зондировании; наличие зубных отложений. Типично образование ложных зубодесневых карманов, содержащих детрит. Целостность зубодесневого соединения при гипертрофическом гингивите не нарушена.
При фиброзном гипертрофическом гингивите на первый план выступают жалобы на массивность десен, их плотность на ощупь, неудовлетворительный эстетический вид. Разросшаяся десна может мешать пережевыванию пищи. Десны бледно-розового цвета, безболезненные, имеют неровную, бугристую поверхность, при контакте не кровоточат. Осмотр выявляет присутствие мягких и твердых поддесневых отложений.
Ассоциированные симптомы: Металлический привкус во рту. Потеря веса.
Диагностика
В план обследования пациента с гипертрофическим гингивитом входит определение индекса гигиены, пародонтального индекса, папиллярно–маргинально–альвеолярного индекса (РМА), проведение пробы Шиллера-Писарева, при необходимости – биопсия и морфологическое исследование тканей десны. При проведении рентгенографии (внутриротовой, панорамной, ортопантомографии), как правило, изменений не обнаруживается либо (при длительном течении гипертрофического гингивита) выявляются остеопороз верхушек межзубных перегородок.
В рамках дифференциальной диагностики исключатся фиброматоз десен, эпулис, разрастание десен при пародонтите. Пациенты с гипертрофическим гингивитом и сопутствующими заболеваниями должны быть проконсультированы врачами-специалистами соответствующего профиля: гинекологом, эндокринологом, гематологом и тд.
Лечение
Пациентам с гипертрофическим гингивитом требуется помощь стоматолога-терапевта, гигиениста, пародонтолога, ортопеда. Терапия отечной формы гипертрофического гингивита включает удаление зубных отложений, обработку слизистой оболочки полости рта антисептиками, пародонтологические аппликации, ротовые ванночки и полоскания отварами трав, физиотерапию (электрофорез, гальванизацию, дарсонвализацию, ультразвук, лазеротерапию), массаж десен. При неэффективности местных противовоспалительных мероприятий проводится склерозирующая терапия – инъекционное введение в десневые сосочки растворов хлорида или глюконата кальция, глюкозы, этилового спирта под местной анестезией.
С целью уменьшения отечности и воспаления при гипертрофическом гингивите производится втирание в десневые сосочки гормональных мазей, инъекции стероидных гормонов. В лечении фиброзного гипертрофического гингивита консервативные методы, как правило, оказываются неэффективными. В этом случае на первый план выходят криодеструкция или диатермокоагуляция гипертрофированных сосочков и гингивэктомия – хирургическое иссечение разросшегося участка десны.
Местное лечение гипертрофического гингивита также должно включать устранение травмирующих факторов: замену пломб, реставрацию зубов, устранение дефектов протезов, пришлифовывание окклюзионных поверхностей, ортодонтическое лечение, пластику уздечек губ и языка и пр. Критериями излеченности гипертрофического гингивита служит исчезновение внешних изменений вида десны и субъективных ощущений, нормализация стоматологических индексов, отсутствие ложных зубодесневых карманов.
Прогноз
При ювенильном гипертрофическом гингивите и гингивите беременных имеет смысл ограничиться консервативным лечением, поскольку после нормализации гормонального фона и родов гиперплазия десен уменьшается или исчезает полностью. Гипертрофический гингивит склонен к рецидивированию, поэтому важным является устранение всех провоцирующих местных и общих факторов.
Профилактика
Профилактика гипертрофического гингивита сводится к исключению хронического механического травмирования десны, регулярному проведению профессиональной гигиены полости рта, правильному гигиеническому уходу за зубами и деснами, решению стоматологических проблем пациента. Крайне важным является терапия эндокринных заболеваний, рациональный подбор лекарственных препаратов.
Источник