Невринома 8 пары код мкб

Рубрика МКБ-10: D33.3
МКБ-10 / C00-D48 КЛАСС II Новообразования / D10-D36 Доброкачественные новообразования / D33 Доброкачественное новообразование головного мозга и других отделов центральной нервной системы
Определение и общие сведения[править]
Глиома зрительного нерва
Глиома зрительного нерва – доброкачественная опухоль, развивающаяся вдоль зрительного нерва (хиазма, тракт и ответвления), характеризующаяся ухудшением или потерей зрения, может сопровождаться диэнцефалическими симптомами, такими как снижение роста и изменение структуры сна. Глиома зрительного нерва часто ассоциирована с нейрофиброматозом 1 типа.
Опухоли глазодвигательных нервов (глазодвигательного, блокового и отводящего)
Являются казуистикой. Гистологически – шванномы. Первым симптомом является чувство двоения предметов (при невриноме 4-го нерва – только при взгляде вниз, например, при спускании по лестнице). Принципы диагностики и лечения – те же, что и при других внутричерепных невриномах.
Опухоли тройничного нерва
Составляют около 0,1% внутричерепных опухолей. В подавляющем большинстве случаев – шванномы (невриномы). Обычно развиваются из гассерова узла и располагаются либо в средней черепной ямке, либо в виде «песочных часов» распространяются из средней черепной ямки в заднюю, реже возникают из корешков или ветвей тройничного нерва.
Первым проявлением опухоли обычно бывает болевая и тактильная гипестезия на соответствующей половине лица и слабость жевательной мышцы, в последующем может развиваться гипотрофия жевательной мышцы, парез лицевого нерва. Тригеминальный болевой синдром нехарактерен. При распространении опухоли в кавернозный синус появляются глазодвигательные нарушения, при росте в заднюю черепную ямку развивается внутричерепная гипертензия, атаксия.
Лечение в большинстве случаев хирургическое. Доступ к опухоли определяется ее преимущественной локализацией. Вероятность рецидива после полного удаления опухоли – 1-2%, после субтотального – около 20%. Диспансеризация – МРТ 1 раз в 6 мес до 2 лет после операции, затем – 1 раз в год до 5 лет, затем – 1 раз в 2 года.
Возможно радиохирургическое лечение – как небольших неврином, так и остатков опухоли, в частности, расположенных в полости кавернозного синуса.
Менингиома тройничного нерва (менингиома меккелевой полости)
Встречается очень редко. Развивается из ТМО, в толще которой находится узел тройничного нерва. Проявляется теми же признаками, что и невринома, может наблюдаться болевой синдром. Лечение – удаление опухоли, по возможности, с сохранением нерва, либо радиохирургия.
Опухоли лицевого нерва
Опухоли лицевого нерва – преимущественно шванномы. Очень редки.
Этиология и патогенез
Обычно развиваются из чувствительных волокон нерва в области коленчатого узла (в пирамиде височной кости).
Клинические проявления
Первым и основным проявлением заболевания является обычно медленно нарастающий парез лицевого нерва.
Диагностика
В плане дифференциальной диагностики особенно информативна КТ, позволяющая в ряде случаев выявить расширение фаллопиева канала.
Лечение
Большинство больных оперируются оториноларингологами. К нейрохирургам обычно поступают пациенты, у которых опухоль формирует интракраниальный узел.
Несмотря на применение микрохирургической техники, при удалении опухоли не всегда удается сохранить функционирующие волокна лицевого нерва. При нарушении анатомической целостности лицевого нерва оптимальным является наложение шва нерва с использованием вставки из подкожного нерва голени.
Альтернативой хирургическому вмешательству при небольших опухолях и противопоказаниях к операции может быть радиохирургия или трехмерная конформная лучевая терапия.
Прогноз
Прогноз благоприятный, после полного удаления опухоли вероятность ее рецидива не превышает 2%.
Невринома преддверно-улиткового (слухового) нерва
Представлены преимущественно шванномами, редко встречаются нейрофибромы. Злокачественные формы практически отсутствуют (единичные сообщения в мировой литературе). Заболеваемость – 1,5 на 100 000 населения в год. Встречаются чаще (в соотношении 3:2) у женщин, пик заболеваемости приходится на 4-5-ю декады жизни. Примерно в 5% наблюдений бывают двусторонними (что патогномонично для нейрофиброматоза-2), в этих случаях половых различий заболеваемости нет, пик – 3-я декада жизни.
Шваннома, как правило, плотная, имеет арахноидальную капсулу (развивающуюся из оболочки нерва), отграничена от мозга. Ассоциированные с нейрофиброматозом-2 шванномы, в отличие от спонтанных, часто инфильтрируют вестибулокохлеарный нерв, что затрудняет сохранение слуха у таких больных. Нейрофибромы обычно имеют мягкую консистенцию, инфильтрируют вестибулокохлеарный и другие прилежащие к опухоли нервы.
Опухоль может содержать кисты (как в строме, так и на периферии). Кровоснабжается из лабиринтной артерии, которая по мере роста опухоли гипертрофируется. Вначале прилежащая к опухоли часть вестибулокохлеарного нерва смещается опухолью, но с увеличением размера последней включается в ее структуру. Аналогично (на более поздних стадиях заболевания) происходит воздействие на близлежащие черепные нервы. Двигательная функция лицевого нерва обычно не нарушается, несмотря на сдавление его опухолью. При распространении опухоли в область вырезки намета мозжечка и при сдавлении 4-го желудочка развивается внутричерепная гипертензия, что может вести к нарушениям психики и снижению остроты зрения вплоть до слепоты.
На T1-взвешенных МР-изображениях опухоль имеет пониженную или не отличающуюся от мозжечка плотность, при введении контрастного вещества контрастность опухоли значительно возрастает. На Т2-взвешенных изображениях опухоль, как правило, гиперинтенсивна.
Основным и наиболее эффективным способом лечения опухолей преддверно-улиткового нерва является хирургическое вмешательство. Чаще всего операцию выполняют из субокципитального ретросигмовидного доступа. При опухолях менее 2 см в максимальном измерении сохранение функции лицевого нерва достигается почти в 100% случаев и сохранение слуха – в 50-60%, при нулевой летальности и вероятности рецидива полностью удаленной опухоли не более 1%. При опухолях большего размера летальность составляет 1-3%, вероятность рецидива – около 5%. Сохранить функцию лицевого нерва при радикальном удалении опухоли свыше 4 см в максимальном изменении очень сложно, слух – практически невозможно.
Альтернативой прямому вмешательству при небольших опухолях и противопоказаниях к операции является лучевое лечение – радиохирургия или лучевая терапия.
Опухоли языкоглоточного, блуждающего и добавочного нервов
Встречаются редко. Преимущественно шванномы. Локализуются практически всегда в области яремного отверстия и проявляются независимо от того, из какого нерва исходит опухоль, нарушением вкуса на задней трети языка, парезом или параличом нёбной занавески и язычка, парезом трапециевидной и грудино-ключично-сосцевидной мышц. На более поздней стадии заболевания, при распространении опухоли в мостомозжечковый угол, могут присоединяться нарушения слуха, парез лицевого нерва, признаки поражения полушария мозжечка и внутричерепной гипертензии. При распространении опухоли экстракраниально на шее может пальпироваться патологическое безболезненное образование, достигающее иногда больших размеров.
Основным методом лечения является удаление новообразования. Выделить из ткани опухоли в яремном отверстии и сохранить функционирующие нервные волокна удается не всегда. Альтернативой операции является радиохирургия, обеспечивающая лучшие функциональные результаты. При опухолях большого размера производится максимально возможное уменьшение ее размеров и затем стереотаксическое облучение остатков опухоли в яремном отверстии.
Опухоли подъязычного нерва
Являются казуистикой. Описаны только шванномы. Располагаются обычно интракраниально, иногда через расширенный канал подъязычного нерва в виде «песочных часов» распространяются и экстракраниально.
Первым и самым характерным симптомом является нарастающая атрофия половины языка. Лечение хирургическое, альтернативой является радиохирургия.
Этиология и патогенез[править]
Клинические проявления[править]
Доброкачественное новообразование черепных нервов: Диагностика[править]
Дифференциальный диагноз[править]
Доброкачественное новообразование черепных нервов: Лечение[править]
Профилактика[править]
Прочее[править]
Источники (ссылки)[править]
https://www.orpha.net
Клинические рекомендации. Неврология и нейрохирургия [Электронный ресурс] / под ред. Е. И. Гусева, А. Н. Коновалова – 2-е изд., перераб. и доп. – М. : ГЭОТАР-Медиа, 2015. – https://www.rosmedlib.ru/book/ISBN9785970433324.html
Дополнительная литература (рекомендуемая)[править]
Действующие вещества[править]
Источник
Содержание
- Описание
- Дополнительные факты
- Симптомы
- Диагностика
- Лечение
- Основные медицинские услуги
- Клиники для лечения
Названия
Название: Невринома слухового нерва.
Невринома слухового нерва
Описание
Невринома слухового нерва — доброкачественное новообразование VIII черепного нерва, состоящее из клеток шванновской оболочки. Клинически проявляется понижением слуха, шумом и звоном в ухе, вестибулярными расстройствами на стороне поражения, симптомами сдавления лицевого, тройничного, отводящего нервов, мозгового ствола и мозжечка, признаками внутричерепной гипертензии и гидроцефалии. Невринома слухового нерва диагностируется благодаря рентгенографии височных костей, МРТ или КТ головного мозга. В зависимости от размеров образования возможно его хирургическое и радиохирургическое удаление, радиотерапия. В отдельных случаях целесообразно наблюдение за опухолью в динамике и решение вопроса о тактике лечения только при выявлении прогрессирующего роста образования.
Дополнительные факты
VIII пара ЧМН — преддверно-улитковый, или слуховой, нерв состоит из вестибулярной и слуховой частей. Первая несет в церебральные центры информацию от вестибулярных рецепторов улитки, вторая — от слуховых. В подавляющем большинстве случаев невринома развивается в вестибулярной части преддверно-улиткового нерва, а симптомы поражения слухового отдела связаны с его сдавлением опухолью. Вблизи преддверно-улиткового нерва проходят: ствол лицевого нерва, тройничный нерв, отводящий, языкоглоточный и блуждающий нервы. По мере роста невриномы в клинической картине могут возникать симптомы сдавления этих нервов, а также прилежащих структур ствола мозга.
Невринома слухового нерва берет начало из шванновских клеток, окружающих аксоны нервных волокон. В связи с этим в практической неврологии она также известна как вестибулярная (акустическая) шваннома. Частота встречаемости опухоли примерно 1 заболевший на 100 тыс. Человек. При этом невринома слухового нерва составляет 12-13% всех церебральных опухолей и примерно 1/3 от опухолей задней черепной ямки. Она развивается преимущественно в возрасте 30-40 лет. Не отмечено ни одного случая заболевания у детей допубертатного периода.
Этиопатогенез.
Этиология неврином слухового нерва пока остается неопределенной. Односторонние невриномы носят спорадический характер, их прямая связь с какими-либо этиофакторами не прослеживается. Двусторонние невриномы наблюдаются у многих пациентов с нейрофиброматозом II типа — генетически обусловленном заболевании, для которого типичны доброкачественные опухолевые процессы различных тканевых структур нервной системы (нейрофибромы, глиомы, менингиомы, невриномы). Нейрофиброматоз наследуется аутосомно-доминантным путем, риск заболевания потомства при наличии патологического гена у обоих родителей составляет 50%.
Патогенетически выделяют 3 стадии развития вестибулярной шванномы. В первой небольшие размеры образования (до 2,5 см) приводят к нарушению слуха (тугоухости) и вестибулярным расстройствам. Во второй новообразование вырастает до размеров грецкого ореха, оказывает давление на ствол мозга, что приводит к появлению нистагма, дискоординации движений и расстройства равновесия. В третьей стадии, когда невринома достигает размеров куриного яйца, она вызывает резкое сдавление церебральных структур, гидроцефалию, нарушения зрения и глотания. На этой стадии в тканях головного мозга происходят необратимые изменения, опухоль иноперабельна и является причиной летального исхода.
Морфология.
Макроскопически новообразование представляет собой округлый или неправильной формы плотный узел с бугристой поверхностью. Снаружи оно имеет соединительнотканную капсулу, внутри могут встречаться локальные или диффузные кистозные полости, наполненные коричневатой жидкостью. Цвет образования на срезе зависит от его кровоснабжения: обычно бледно-розовый с ржавыми участками, при венозном застое — синюшный, при кровоизлияниях в ткань невриномы — буро-коричневый.
Микроскопически невринома слухового нерва состоит из клеток, ядра которых напоминают палочки. Эти клетки образуют структуры по типу палисадов, между которыми наблюдаются участки, состоящие из волокон. По мере роста опухоли в ней наблюдаются процессы фиброзирования, образование отложений гемосидерина.

Невринома слухового нерва
Симптомы
Медленный рост вестибулярной шванномы обуславливает наличие некоторого бессимптомного периода и постепенное развитие клиники. У 95% заболевших первым признаком является постепенно прогрессирующее ухудшение слуха. В отдельных случаях снижение слуха происходит резко и внезапно. У 60% пациентов первой жалобой является появление шума или звона в ушах. При его отсутствии и одностороннем характере поражения слухового нерва больные зачастую длительно не замечают происходящего ухудшения слуха. Вестибулярные расстройства отмечаются в 2/3 случаев. Они характеризуются ощущением неустойчивости или головокружением при поворотах туловища и головы, возникновением нистагма. Иногда наблюдаются вестибулярные кризы, при которых на фоне головокружения возникает тошнота и может быть рвота. Невринома слухового нерва в начальной стадии может быть ошибочно принята за кохлеарный неврит, болезнь Меньера, отосклероз, лабиринтит.
Прогредиентный рост опухоли со временем приводит к полной глухоте на стороне поражения, присоединению симптомов поражения близрасположенных структур. Однако следует помнить, что выраженность симптомов не всегда коррелирует с размерами опухоли. В зависимости от локализации невриномы и направления ее роста, при малых размерах она может давать более тяжелую картину, чем крупное новообразование, и наоборот.
В первую очередь невринома слухового нерва вызывает сдавление тройничного нерва, что сопровождается лицевыми болями и парестезиями на стороне опухоли. Боли в лице имеют тупой, ноющий характер; вначале протекают по типу пароксизмов, а затем становятся постоянными. Иногда их принимают за зубную боль или невралгию тройничного нерва. Немного позже или одновременно с лицевой болью возникают симптомы периферического поражения лицевого нерва (парез мимических мышц и связанная с этим лицевая асимметрия, нарушение саливации, утрата вкуса на передних 2/3 языка) и отводящего нерва (диплопия, сходящееся косоглазие). Если невринома слухового нерва располагается во внутреннем слуховом проходе, то симптомы сдавления лицевого нерва могут манифестировать в ранний период заболевания. В подобных случаях необходимо исключение неврита лицевого нерва.
Дальнейшее увеличение невриномы приводит к поражению блуждающего и языкоглоточного нервов с нарушением фонации, дисфагией, утратой вкуса на задней 1/3 языка и угасанием глоточного рефлекса. При сдавлении мозжечка появляется мозжечковая атаксия. Даже в запущенных случаях, при сдавлении мозгового ствола, сенсорные и моторные проводниковые нарушения выражены крайне слабо; парезы отмечаются в исключительных случаях.
Ассоциированные симптомы: Двоение в глазах. Рвота. Тошнота. Шум в ушах.
Диагностика
Диагностику проводит отоневролог, при его отсутствии невролог совместно с отоларингологом. В некоторых ситуациях дополнительно требуется консультация вестибулолога, офтальмолога и стоматолога. Пациенту проводят неврологическое обследование, аудиометрию, отоскопию, электрокохлеографию, электронистагмографию, исследование слуховых ВП, вестибулометрию, стабилографию.
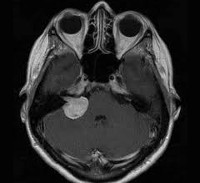
Более точно установить диагноз «невринома слухового нерва» помогает рентгенография и методы нейровизуализации. На ранних стадиях при малых размерах невриномы (до 1 см) она, как правило, не визуализируется при помощи КТ головного мозга. Поэтому проводят рентгенографию черепа с прицельным снимком височной кости. В подтверждение диагноза вестибулярной шванномы свидетельствует расширение внутреннего слухового прохода. Поскольку невриномы хорошо поглощают контраст, возможно использование КТ с контрастированием. При этом визуализируется образование с четкими гладкими контурами.
МРТ головного мозга в случае невриномы выявляет на Т1-взвешенных снимках гипо- или изоинтенсивное, а на Т2-взвешенных – гиперинтенсивное образование. Для опухолей размером 3 и более см характерна гетерогенность сигнала, связанная с наличием в них кистозных участков. Возможна визуализация деформации ствола мозга и мозжечка. При проведении контрастной МР-томографии в 70% наблюдается гетерогенное накопление контраста.
Лечение
Радикальным методом лечения является удаление невриномы, которое может быть проведено открытым хирургическим способом или методами радиохирургии. Хирургическое удаление целесообразно при большой опухоли, при выявлении увеличения ее размеров в динамике наблюдений, при росте невриномы после радиохирургического вмешательства. Зачастую следствием операции являются глухота и парез лицевого нерва. Стереотаксическое радиохирургическое удаление возможно для неврином размером менее 3 тд Также оно проводится у пожилых больных при продленном росте после субтотальной резекции и в случаях, когда риск операции значительно повышен из-за соматической патологии.
Лучевая терапия невриномы имеет показания, сходные с показаниями к радиохирургии. Облучение не является способом удаления образования, но предотвращает его дальнейший рост и позволяет избежать операции. Пациентам со случайно выявленной при КТ или МРТ невриномой без клинической симптоматики, больным с длительно существующими расстройствами слуха и пожилым больным с слабой симптоматикой показана выжидательная тактика с постоянным контролем размеров образования и динамики клинических симптомов.
Основные медуслуги по стандартам лечения | ||
Клиники для лечения с лучшими ценами
|
Источник