Перелом зуба код мкб

Перелом зуба — это травма зуба, при которой происходит его надлом в области коронки или корня. В зависимости от места перелома зуб может быть сохранен восстановлен, либо удален во избежание формирования очага воспаления с последующим разрушением тканей. Резцы больше подвержены таким травмам из-за своего расположения.
В зависимости от места перелома зуб может быть сохранен
Содержание:
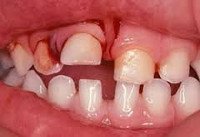
При переломе зуба можно наблюдать его подвижность, человек испытывает резкую сильную боль. Часто ему сопутствует неполный вывих.
Травматическое повреждение зубов чаще всего происходит в детстве. Но если потеря молочного зуба не имеет долгосрочных последствий, то травма постоянного может стать серьезной проблемой.
Причиной травмы может стать не только падение с высоты, драка или авария. Сломать зуб можно и во время приема пищи, если попадется слишком твердый элемент. Нездоровые десны также могут способствовать перелому.
Виды перелома
В первую очередь переломы различаются по направлению:
- Вертикальные. Чаще всего разлом достигает глубинный частей зуба, поэтому он подлежит удалению;
- Поперечные. Надломиться поперек зуб может в любой части;
- Косые. Разлом идет под углом;
- Оскольчатые. В этом случае переломов несколько, они могут пересекаться между собой.
Виды перелома зуба
По локализации трещины выделяют несколько типов
- Нарушение целостности эмали коронки. Такой тип опасен из-за высоких рисков попадания в рану инфекции;
- Надлом корня в пришеечной области;
- Перелом коронки с обнажением полости (полный);
- Перелом коронки без обнажения полости (невидимый);
- Перелом корня вплоть до дентина и цемента.
В большинстве случаев ломается корень. В этом случае для точного диагноза необходимо пройти рентгенографию. На нижних резцах такие травмы случаются реже, обычно на них остается неполный излом — надлом или трещина.
В тяжелых случаях травма сопровождается подвывихом. В этом случае зуб визуально выглядит меньше, выступает под неестественным углом. Иногда подвывих сопровождается вколачиванием корня в кость челюсти. При этом пострадавший испытывает острую непроходящую боль. В данном случае необходимо максимально оперативное вмешательство специалиста по челюстно-лицевой хирургии, но даже при таких обстоятельствах есть вероятность сохранения зуба.
Вывих зуба
Код травмы по МКБ 10:
- Общий код — S02.5.
- Небольшие разломы эмали относятся к подгруппе S02.50.
- Обозначение множественных переломов — S02.57.
- Перелом коронки и корня зуба — S02.54.
- Вывих зуба — S03.22.
Причины
Возможные причины получения такой травмы подразделяют на острые и хронические. Это разделение необходимо, так как оно напрямую влияет на общий план лечения.
Острой формы
Все причины возникновения острой формы основаны на чрезмерном механическом воздействии на зуб:
- Резкий удар при падении, во время аварии, драки и подобных ситуациях;
- Резкое накусывание твердых предметов (кости в мясе, косточки во фруктах);
- Использование челюстей в качестве инструмента (попытка раскусить или сломать твердый предмет);
- Некомпетентная работа стоматолога: случайное нанесение травмы во время лечения соседнего зуба, снятия брекет-системы, неоправданное углубление и расширение зубных каналов при лечении пульпита.
Хронической формы
В этом случае спровоцировать разрушение могут длительные по времени факторы и хронические заболевания пациента:
- Врожденные аномалии в строении челюстей и зубного ряда;
- Наличие кариозных полостей;
- Недостаток кальция;
- Ослабленный иммунитет;
- Постоянные попытки раскусить твердый предмет, которые постепенно разрушают зуб.
Симптомы
Перелом зуба не всегда очевиден. Вовремя распознать проблему и обратиться к врачу можно по следующим симптомам:
- Главный симптом — острая или ноющая боль, которая может утихать только при отсутствии малейшего воздействия на больную область;
- Эмаль изменяет оттенок на розоватый из-за внутреннего кровотечения;
- В месте полученной травмы десна и прилегающие мягкие ткани отекают;
- Десна кровоточит при воздействии на нее — например, при надавливании или во время еды;
- Сам зуб может шататься даже при движении языка или простом открытии рта, выглядит смещенным;
- У человека затрудняется речь, ему сложно открывать и закрывать рот;
- При расположении разлома под искусственной коронкой наблюдается невозможность жевания и неприятный запах;
- При оскольчатом переломе травмируются окружающие зуб мягкие ткани.
Симптомы перелома зуба
Сама по себе травма не несет серьезного вреда здоровью, но требует оперативного вмешательства квалифицированных специалистов. Помимо непрерывных болевых ощущений и невозможности нормально принимать пищу, существует серьезная опасность появления осложнений. Челюстно-лицевой аппарат расположен близко к головному мозгу, поэтому любое бесконтрольно прогрессирующее воспаление может иметь крайне негативные последствия.
Осложнения и последствия
При травме молочного зуба у ребенка осложнений почти не случается, так как воспаление легко устраняется с помощью медикаментозного способа лечения. У взрослых же все обстоит иначе.
В первую очередь, спровоцировать проявление осложнений может попытка отложить визит к врачу. Часто это вызвано “терпимой” болью и дискомфортом, что создает впечатление незначительности повреждений.
В случае полного перелома коронки пациенту приходится восстанавливать твердые ткани, а это сопровождается насечением десны. Таким образом, резко возрастает вероятность попадания в рану инфекции и ее развития.
Травма провоцирует появление гнойного воспаления, различных заболеваний десен, флегмоны с быстро прогрессирующим периоститом. Эти факторы, в свою очередь, приводят к расшатыванию нескольких зубов или даже целого ряда.
Флегмона — острое гнойно-воспалительное заболевание слизистой полости рта. Сопровождается повышенной температурой, увеличенными лимфоузлами, болевыми ощущениями при глотании, бессонницей. При запущенной форме имеет ряд серьезных осложнений.
Также серьезными осложнениями считаются: смещение корня и/или его повреждение, травма надкостницы.
В случае сохранения зуба после перелома следует учитывать, что его целостность нарушена, и полноценные нагрузки он выдержать не может. В случае игнорирования этого факта травма повторится, и восстановление уже может оказаться невозможным.
Первая помощь
Самым правильным решением станет максимально оперативное обращение за помощью к специалистам. Однако не всегда возможно получить качественную помощь в ближайшие часы — например, если зуб был сломан вдалеке от города во время путешествия. В таких обстоятельствах грамотное поведение пострадавшего и окружающих может не только облегчить самочувствие, но и повысить шансы на максимально благоприятный исход травмы.
Самым правильным решением станет максимально оперативное обращение за помощью к специалистам
Суть первой помощи при переломе зуба проста: нельзя пытаться что-то исправить самостоятельно. Это слишком серьезная травма, чтобы пренебрегать помощью стоматолога и рассчитывать только на свои силы.
Пациенту необходимо сохранять молчание и не предпринимать попыток приема пищи, чтобы не тревожить поврежденную область. При необходимости допускается прием исключительно ненаркотических анальгетиков. Если рана сильно кровоточит, рекомендуется приложить тампон с перекисью водорода.
Необходимо доставить пострадавшего к врачу как можно быстрее, но также хорошим решением будет предварительное ознакомление с информацией о специалистах клиники. Помощь опытного специалиста (ссылка на наших специалистов), пусть и с небольшой задержкой по времени, может оказаться более результативной и качественной, чем оперативная помощь недобросовестного стоматолога.
Диагностика
Сам перелом корня зуба легко диагностируется опытным хирургом при помощи пальпации. При этом определяется наличие осколков или отсутствие осколков, подвижность и смещение. Но для полноценного плана лечения требуется более подробное обследование, которое помимо перелома поможет выявить сопутствующие проблемы.
Этапы диагностики при травматическом повреждении:
- Перкуссия. С ее помощью оценивают состояние соседних зубов, наличие отеков и разрывов мягких тканей;
- Электроодонтометрическая диагностика. На этом этапе определяется состояние пульпы при разломе корня, которое имеет решающее значение в выборе лечения;
- Рентгенография. На снимке хорошо просматривается корневая система. Позволяет четко определить локализацию перелома и осколков при их наличии.
Перкуссия — метод обследования при помощи постукивания и анализа полученного звука. В стоматологии позволяет определить наличие в зубе пломбы, кариеса, воспаления.
Электроодонтометрическая диагностика — метод диагностики, при котором живые ткани отличают от мертвых при помощи легкого воздействия электричеством. По уровню электровозбудимости делают выводы о наличии и степени воспаления в пульпе.
После анализа общей картины по результатам исследования, врач составляет план лечения.
Лечение
Любой хороший стоматолог в первую очередь попытается спасти зуб, но при некоторых переломах он восстановлению не подлежит. В зависимости от ситуации применяются различные методы лечения. В первую очередь проводятся процедуры по устранению воспаления и восстановления, затем решается вопрос эстетической коррекции.
Проще всего поддается лечению краевой перелом эмали. Потерянный элемент достаточно легко нарастить. Если был надломлен корень, то его придется удалять. Врач вычищает осколки и остатки зуба, а после заживления возможна установка протеза.
Главные критерии, определяющие методику лечения:
- Направление перелома;
- Состояние пульпы;
- Общее состояние соединительной ткани;
- Количество и локализация осколков.
При надломленной коронке, но здоровой пульпе прибегают к способу проволочной фиксации. Пока зуб зафиксирован, изготавливается коронка, которую крепят на него, предварительно сняв крепящий элемент. В тех случаях, когда перелом находится в области коронки, но расположен у самой десны, ее приходится разрезать для проведения необходимых процедур.
Более трудным и долгосрочным является процесс восстановления травм, которым сопутствуют челюстные нарушения. Значительно усложняет процесс невозможность полностью обездвижить челюсти на длительный срок.
Единственно верной схемы лечения для конкретного случая не существует. Ключевым фактором остается выбор компетентного врача, которому вы сможете доверить лечение, требующее высочайшей ответственности.
Лечение перелома зуба
Цены на лечение
Цены на удаление начинаются с 1000 рублей, средняя цена составляет 3500-4000 рублей. Стоимость на установку имплантата колеблется от 30 000 рублей до 260 000 рублей.
Восстановление коронки в зависимости от типа и материала может обойтись в 10 000 -20 000 рублей.
Реабилитация
К сожалению, на быструю реабилитацию после лечения сломанного зуба рассчитывать не стоит. Но необходимо соблюдать все предписания и рекомендации, чтобы выздоровление наступило как можно скорее.
Часто в период реабилитации пациенту необходимо делать следующее:
- Полоскать рот антисептическими средствами;
- Держать ротовую полость в максимально возможном спокойном состоянии, если было проведено шинирование;
- Питаться исключительно жидкой и пюрированной пищей;
- Проводить ежедневную гигиену в щадящем режиме.
В том случае, когда нет возможности вернуть полноценную функциональность резца, можно прибегнуть к дополнительным способам защиты вроде капы или накладки.
Профилактика
Главным правилом профилактики как надлома, так и многих других заболеваний, остается регулярное посещение стоматолога. Это позволит избежать хрупкости зуба, вызванной кариозными полостями, а также обеспечит его естественную фиксацию в десне. Также стоматолог сможет вовремя зафиксировать недостаток витаминов.
Нельзя оставлять без внимания правильную и тщательную гигиену рта. Следует убедиться в своей осведомленности о её правилах и тонкостях и проявлять стабильную дисциплинированность в этом вопросе.
При регулярных занятиях спортом или другой физической активностью необходимо позаботиться о защите. В большинстве случаев защитные маски, шлемы и капы выполняют свои функции на отлично. Полезным на практике окажется и умение правильно группироваться и корректировать направление при падениях.
Стоит отказаться от вредных привычек грызть посторонние предметы. Помимо перелома это может привести и к другим, не менее неприятным последствиям — например, рецессии десны.
Полностью обезопасить себя от любых повреждений невозможно, но с помощью этих нехитрых правил можно значительно снизить риски подобных травм.
Полезная статья?
Сохрани, чтобы не потерять!
Отказ от ответственности:
Этот материал не предназначен для обеспечения диагностики, лечения или медицинских советов. Информация предоставлена только в информационных целях. Пожалуйста, проконсультируйтесь с врачом о любых медицинских и связанных со здоровьем диагнозах и методах лечения. Данная информация не должна рассматриваться в качестве замены консультации с врачом.
Посмотрите стоматологии Иркутска с услугой “Установка пломбы”
Источник
Содержание
- Описание
- Дополнительные факты
- Симптомы
- Лечение
- Диагностика
- Основные медицинские услуги
- Клиники для лечения
Названия
Название: S02,5 Перелом зуба.
S02.5 Перелом зуба
Описание
Перелом зуба. Травматическое повреждение зуба, сопровождающееся нарушением целостности его корня или коронки. Встречаются различные виды перелома зуба: перелом эмали, дентина и корня зуба. Проявляются резкой подвижностью и смещением травмированного зуба, интенсивной болью. При переломах коронки зуб удается сохранить с последующим косметическим восстановлением, при переломе корня – требуется его удаление. При травме корня высок риск развития периостита, остеомиелита и тд осложнений.
Дополнительные факты
Перелом зуба. Это травма зуба, полученная при воздействии механической силы. При переломе нарушается анатомическая целостность корня зуба или его коронки. Причинами перелома зуба являются механические травмы, полученные в результате удара, падения или же во время жевания, когда в пище присутствуют твердые инородные тела. Фронтальные зубы верхней челюсти более подвержены переломам, чем зубы нижней челюсти, нередко переломы зубов сочетаются с их неполными вывихами.

S02.5 Перелом зуба
Симптомы
При переломе зуба возникает сильная нестерпимая боль, пострадавший испытывает затруднения при открытии рта и при смыкании зубов. Кроме того, перелому зуба предшествует какая-либо травма, отмечается кровоточивость десен и патологическое расшатывание зуба.
Болезненные ощущения при механическом и термическом раздражении зависят от типа и локализации перелома, а так же от подвижности зуба. Во время осмотра обнаруживается отек мягких тканей приротовой полости и точечные кровоизлияния в кожу и слизистую. Перелом коронки зуба клинически проявляется в виде ее дефекта, часто такой перелом сопровождается вскрытием пульповой камеры. При переломе корня зуба, зуб становится подвижным, его перкуссия резко болезненна, а коронка иногда приобретает розовый оттенок.
Перелом зуба может быть незначительным в виде откола эмали зуба, либо значительными когда отмечается перелом дентина с обнажением или без обнажения пульпы и перелом корня зуба. Полными называются переломы со вскрытием пульпы, неполными – без вскрытия пульпы.
Лечение
Диагноз ставится стоматологом на основании наличия травмы в анамнезе болезни, характерных клинических проявлений и жалоб пациента. Перед выбором методики лечения проводят одонтометрическое и рентгенологическое исследование. Тактика лечения и прогноз зависят от степени повреждения тканей зубной эмали. Так, если при отломе фрагмента коронки вскрытия полости зуба не произошло, то проводится реставрация зуба: коронка подлежит восстановлению при помощи композитных пломбировочных материалов.
Продольный, оскольчатый и косой переломы корня зуба требуют удаления зуба, так как корень в этом случае невозможно использовать в качестве опоры для штифта. После экстракции зуба необходимо решение вопроса о протезировании. Современная стоматология предлагает альтернативный способ замещения образовавшегося в результате перелома зуба дефекта зубного ряда – проведение имплантации зубов.
Поперечный перелом корня зуба позволяет восстановить зуб с помощью искусственной металлокерамической коронки.
Так же тактика лечения зависит от уровня перелома зуба, если перелом произошел в верхней части, то канал пломбируется, а верхушечная часть зуба остается без вмешательств. При переломе в срединной части показана трепанация зуба с удалением пульпы, далее канал пломбируют, а обломки зуба соединяют с помощью штифтов.
При переломе зуба, который сопровождается вскрытием его полости и повреждением пульпы, поврежденная пульпа должна быть удалена, а корневой канал запломбирован. Если есть необходимость, то используют внутриканальные штифты и пломбировку коронковой части зуба.
Переломы любой сложности с сохранением корня зуба позволяют установить внутриканальный штифт после вычищения и пломбировки канала, что позволяет, не прибегая к зубопротезированию, восстановить целостность и функциональность зубного ряда.
Пломбировка корневых каналов является лишь частью лечения, после которого нужно полностью восстановить анатомическое положение зубов. Это позволяет избежать формирования неправильного прикуса и исключить травмы во время смыкания зубов.
Диагностика
Лечение переломов зубов необходимо проводить в максимально короткие сроки, так как при отсутствии контакта с зубом антагонистом возникает наклон и смещение соседних зубов. Это может потребовать дополнительного ортодонтического лечения перед протезированием.
Основные медуслуги по стандартам лечения | |||||||||||||||||||||||||||||||||||||||||||||||||||||||||||||||||||
Клиники для лечения с лучшими ценами
| |||||||||||||||||||||||||||||||||||||||||||||||||||||||||||||||||||
Источник