Синдром фара у кого есть эта болезнь

Человеческий мозг самый загадочный и малоизученный орган тела. Большая половина заболеваний, о причинах возникновения которых врачи могут только догадываться протекает именно в нем. К такой болезни относится и синдром Фара. Неизлечимое нейродегеративное заболевание, которое по симптоматике похоже на болезнь Паркинсона, но лишь в некоторых ее проявлениях.
Коротко о главном
Итак, синдром Фара был впервые диагностирован в конце 1930 года, немецким врачом-неврологом Т.Фаром. Заключается болезнь в накоплении избыточного количества кальция в участках головного мозга, отвечающих за бессознательную деятельность.
Бессознательная деятельность – взмахи руками, при падении или движение рук во время ходьбы и т. п.
По какой причине происходит такое избыточное осложнение остается загадкой, и на настоящий момент существует несколько гипотез, что может послужить толчком к развитию недуга.
Основная версия – это аденоматоз щитовидной железы, в результате чего в данном органе запускаются процессы, влияющие на избыточное отложения кальция. Но даже тут имеется масса вопросов. Один из которых, при чем тут щитовидная железа и головной мозг?
Для того чтобы с честью ответить на этот вопрос, ученые предположили прямую связь между генетическими нарушениями и кальцификацией участков мозга. Вполне рабочая версия, которая, как и все остальные еще требует проверки.
Но самое интересное – это то, что синдром Фара, может себя вообще никак не проявлять довольно длительное время. К примеру, отмечено огромное количество случаев, случайного обнаружения избыточного присутствия кальция в головном мозге у больного человека, который не жаловался ни на один характерный болезни симптом.
Данное заболевание относится к разряду возрастных и чаще встречается у лиц старшего возраста (40–50 лет). Но это не исключает возможность развития болезни и в раннем возрасте. В случае с детьми, речь идет о ювенальном типе болезни.
Что укажет на недуг?
Но к сожалению, бессимптомное течение болезни не означает благоприятный исход, так как состояние мозга с кальциевыми отложениями не является нормальным.
Характерные симптомы для данного недуга
Болезнь Фара имеет симптомы, схожие с болезнь Паркинсона, в частности:
паркинсонизм
тремор рук
гиперкинезы
синдром «скатывания пилюль»
головная боль
судороги
проблемы с движениями
нарушение умственных способностей
шаркающая походка
гипертонус всех мышц
Гиперкинез – непроизвольное движение в различных группах мышц
Синдром скатывания пилюли – движение пальцами, напоминающее катание шарика
Перечисленные выше признаки свидетельствуют о запущенной форме болезни. Кроме того, в редких случаях могут быть диагностированы изменения черепной коробки, глаукома или патологические состояния эндокринной системы.
Что касается ювенального типа болезни, то о нем известно еще меньше, чем о взрослом синдроме Фара, но изучение продолжается и на сегодняшний момент симптомы, следующие:
мышечная дискинезия
в редких случаях возможны эпилептические припадки
развитие синдрома дефицита внимания
снижение когнитивных функций
двигательные нарушения
В итоге, по мере взросления ребенка, у него развивались паркинсонические симптомы.
Диагностика, как она есть…
Для того чтобы поставить диагноз специалисту необходимо проделать целый комплекс процедур, в частности:
Сначала больного опрашивают по симптоматике и на основании полученных данных делают предварительные выводы, которые в основной массе свидетельствуют о необходимости проведения рентгенографического исследования.
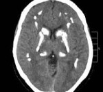
Но самый действенный способ диагностики – это компьютерная томография (КТ). На снимках КТ отчетливо видны участки с кальциевыми отложениями.
Помимо КТ, больному могут назначить исследования спинномозговой жидкости, а также анализы, на определение количества паратгормона и тиреокальциотина в крови.
Паратгормон и тиреокальциотин – вещества, вырабатываемые эндокринной системой человека.
Как лечить?
Болезнь Фара относится к числу болезней с неясной причиной возникновения. А если нет причины, которую необходимо устранить – надо лечить следствие. Что и происходит при составлении плана лечения. Избавление пациента от симптомов данного недуга – основа лечения от синдрома Фара.
В первую очередь больному назначают препараты, купирующие паркинсонические симптомы.
На снимке справа пораженный мозг
Кроме того, больному показано лечение у врача-эндокринолога, в комплексе с приемом препаратов, улучшающих обменные процессы в организме и ускоряющих всасывание и растворение избыточного количества кальция.
Также пациенту назначают ноотропные препараты (семакс, пантонгам, кавинтон).
Ноотропные препараты – лекарства, оказывающие воздействие на высшие функции мозга.
Интересный факт, в организме человека существуют специальные клетки, занимающиеся расщеплением кости, и насыщают ионами кальция необходимые участки. Такие клетки называют остеокласты. Но к сожалению, головной мозг не имеет костных тканей, поэтому данные клетки попросту не могут там функционировать, а значит вариант самостоятельной борьбы организма с недугом отпадает.
Какие прогнозы, доктор?
Что касается последствий данного заболевания и прогнозов однозначного ответа не сможет дать ни один квалифицированный врач-невролог. Несомненно, многое зависит от особенностей организма больного и его физической формы.
В настоящее время полной картины по синдрому Фара не существует, есть лишь разрозненные сведения, но большинство указывает на то, что этот недуг не развивается молниеносно, а может назревать не одно десятилетие.
По статистике выживаемость от болезни, при должном лечении хорошая, но среди пациентов, доживших до глубокой старости отмечено не было.
Тот факт, что на ранней стадии болезнь распознать невозможно играет не в пользу больного.
Итак, болезнь Фара является редким заболеванием, от которого в основном страдают пожилые люди. Главный совет – это следить за своим здоровьем и своевременно обращаться к врачу, а не пытаться самостоятельно поставить себе диагноз и самостоятельно его вылечить.
Источник
Синдром, названный болезнью Фара, впервые было описан в 30-х годах прошлого столетия. Под этим названием была объединена группа патологических изменений участков головного мозга, вызванных отложениями солей кальция на стенках артерий и капилляров.
Являясь нейродегенеративным заболеванием ЦНС, синдром Фара приводит к медленному угасанию основных функций головного мозга.
Кальцинаты могут встречаться в головном мозге везде, но чаще всего они отмечаются среди комплекса подкорковых нейронных узлов (базальные ядра). К базальным ганглиям относятся структуры головного мозга, отвечающие за правильную работу системы бессознательных движений.
Возможно появление кальцификатов в области мозжечка и в некоторых других отделах головного мозга.
Проявляется заболевание различными нарушениями нервной системы, замедленной или агрессивной реакцией на внешние раздражители,
нарушениями в координации движений. Выделяют ювенильную (дети, подростки) и сенильную форму заболевания, характерную для лиц, старше сорока лет.
Зачастую заболевание протекает без явной симптоматики и может выявиться при первичном обследовании. Этологические факторы окончательно не установлены, но считается, что патогенетический механизм запускается нарушением кальций — фосфорного метаболизма.
Сложность определения синдрома Фара заключается также в том, что морфологическая картина не соответствует симптомам заболевания. То есть, сильно выраженное обызвесткование зачастую сопровождается слабо выраженными симптомами.
Причины заболевания
Учитывая редкость болезни, причины по которым синдром развивается, точно не выяснены до настоящего времени. Установлено, что основное
влияние на развитие синдрома Фары имеют патологические изменения щитовидной или других эндокринных желез, которые расположены на задней поверхности щитовидной железы.
При сбоях в их работе запускаются изменения в процессах обмена кальция и фосфора. Еще одной причиной нейродегенеративной болезни может быть нарушения кислотно-щелочного баланса организма, при котором уменьшается содержание кислот и, наоборот, очень увеличивается количество щелочных соединений.
Очень противоречива, но имеет право на существование, гипотеза о генетической природе болезни. Кальцификацию базальных ганглиев может вызвать родовая травма. Изредка заболевание диагностируются у детей с синдромом Дауна, у людей, перенесших облучение головы, а также как последствие отравления ядами, свинцом.
Болезнь может проявиться в любом возрасте у всех людей, но чаще страдают мужчины. В группе риска находятся люди с признаками церебрального кальциноза, больные гипопаратиреозом, а также пожилые лица, у которых отмечена небольшая кальцификация сосудов.
Про базальные ядра профессионально:
Клиника и симптомы
Определение наличия заболевания Фара затруднено неясной клинической картиной. Протекает болезнь зачастую бессимптомно. Даже если у человека установлено развитие синдрома, то зачастую он его не ощущает. Патологическое накопление кальция в области мозга проявляется следующими симптомами:
- нарушение двигательной функции;
- ухудшение умственной деятельности, вплоть до слабоумия;
- спастические параличи;
- головная боль;
- нарушения в движении глазного яблока;
- дизартрия;
- судорожный синдром.
При проявлении синдром Фара с признаками паркинсонизма, его симптомами могут быть:
- тремор;

- постоянное пребывание мышц в напряженном состоянии;
- шаркающая походка;
- неподвижное лицо, напоминающее маску;
- непроизвольное сжимание пальцев, имитирующее скатывание пилюль.
Такие симптомы характерны для поздней стадии заболевания. Кроме неврологических и психических симптомов болезни, возможны, хотя и гораздо реже, признаки аномалии черепа, глаукомы, пигментного ретинита, патологии эндокринной системы (гипопаратиреоз).
Формы нарушения — их симптоматика
Общим для любой нейродегенеративной болезни является медленно прогрессирующая гибель нервных клеток, но проявляться она может в
разных формах и разновидностях.
Наиболее распространенным является проявление паракинсонизма, повышенной мышечной ригидности. Нарушение функции паращитовидной железы, первичное или после операции, изменяет выработку паратгормона, что в свою очередь повышает уровень фосфора в крови и снижает уровень кальция.
Проявляться такие нарушения могут в виде тремора, дистонии, дискинезии, непроизвольных судорог лица, конечностей или туловища.
Следующими по распространенности можно назвать нарушения основных функций мозга, которые проявляются ослаблением памяти, чрезмерно сильной реакцией на различные события в жизни человека.
Связь болезни с нарушением нормального обмена кальция, приводит к неврологическим проявлениям, сопровождающимся мышечными спазмами. Проявляется заболевание также в психиатрических расстройствах, изменении подходки, сильных болевых ощущениях.
Нередко синдром Фара диагностируется на фоне таких заболеваний как токсоплазмоз, поражение паразитом свиного цепня, эхинококкоза. Реже диагностируют заболевание, выраженное туберозным склерозом Бурневилля.
Диагностические критерии и методы
Подтверждение диагноза проводится на основании нейровизуализационных методов, но только после того как установлено отсутствие пороков развития и нарушений обмена кальция.
При постановке диагноза медики в первую очередь опираются на обобщенные данные, взятые из наблюдений за пациентом и его жалоб.
Основным инструментом в диагностике нейродегенеративной болезни можно назвать компьютерную и магниторезонансную томографию. На большинстве снимков видны конкретные участки поражения, что при рентгенограммах черепа было выявить затруднительно. Подтверждением диагноза является определение качественного содержания в плазме крови паратгормона и тиреокальцитонина.

На фото МРТ с дегенерацией мозга при болезни Фара
Лечение заболевания
Следует отметить, что удалить кальцификаты в головном мозге, невозможно. Поэтому лечение болезни Фара носит симптоматический характер.
Применяемые терапевтические методы не влияют на степень кальцификации и используются для облегчения симптомов. Если в костной ткани есть специальные клетки, которые рассасывают кальцификаты, то в мозгу их нет.
Принципы терапии включают:
- мероприятия, способствующие улучшению обменных процессов кальция и фосфора;
- при проявлении симптомов паркинсонизма проведение лечения соответствующими препаратами;
- использование стимуляторов мозговой деятельности.
Среди наиболее часто применяемых лекарств следует выделить аналоги полипептидного гормона. Принцип их действия заключается в усилении всасывания кальция в организме с активным усвоением организмом. Кроме того они обладают обезболивающим эффектом.
Для стимуляции развития клеток, которые наращивают новую костную ткань, применяют Терипаратид. При сопровождении заболевания признаками, характерными для болезни Паркинсона, рекомендуются препараты Леводопа, Наком, Медонор, Мемантин. Начальная доза подбирается в соответствии с реакцией пациента и показаниями.
Конкретный препарат, который необходимый при лечении заболевания в каждом отдельном случае, назначается врачом. Сам процесс терапии проводится под тщательным врачебным наблюдением и сопровождается ЭКГ-мониторингом.
В случае необходимости проводится корректировка дозы антигипертензивного препарата. Таблетки Акатинол с активным действующим веществом мемантин, блокируют кальциевые каналы, происходит нормализация мембранного пространства.
При этом поведенческие реакции становятся нормальными, увеличивается мозговая и повышается физическая активность. Препарат Леводопа устраняет тремор, дисфагию, гипокинезию, ригидность. При тяжелом протекании болезни, которое сопровождатеся ухудшением интеллектуальных функций, применяют ноотропные препараты.
Прогнозы неоднозначны
Учитывая, что заболевание достаточно редко встречается и на сегодняшний день недостаточно изучено, прогнозы при болезни Фара очень
неоднозначны.
Увеличение отложений кальция происходит очень медленно, на протяжении десятков лет. К тому же на ранних стадиях болезнь практически не диагностируется, а величина участков поражения может входить в противоречие с внешними признаками.
Проблему составляет отсутствие достаточного объема информации и невозможность определения специфики лечения. По мере накопления информативного материала и разработки методов ранней диагностики, удастся избежать необратимых последствий заболевания.
Источник

Болезнь Фара — идиопатическая симметричная кальцификация церебральных структур: подкорковых ганглиев, коры полушарий, мозжечка. Может протекать бессимптомно, клинически проявляется экстрапирамидными расстройствами (гиперкинезами, паркинсонизмом), мозжечковыми нарушениями, интеллектуальным снижением. Диагностируется по данным церебральной КТ при исключении вторичного характера кальцинированных очагов по результатам биохимических, ультразвуковых, ПЦР исследований. Лечение симптоматическое с применением средств, улучшающих тканевый обмен, цитопротекторов, препаратов леводопы, антиконвульсантов.
Общие сведения
Болезнь Фара включает случаи первичного идиопатического отложения кальция в мозговых структурах, вторичные формы церебрального кальциноза в рамках данной патологии не рассматриваются. Первые подробные описания заболевания сделаны в 1930 году немецким невропатологом К.Т. Фаром. Болезнь Фара является редкой нозологией, распространённость составляет менее 1 случая на 1 млн. населения. Гендерные различия в заболеваемости выражаются соотношением мужчин и женщин 2:1. Патология проявляется в любом возрастном периоде, чаще в 30-60 лет. Прижизненно выявляется лишь в 1-2% случаев, что объясняется наличием бессимптомных вариантов течения, диагностикой заболевания под видом иных нейродегенеративных процессов (болезни Паркинсона, сенильной хореи).

Болезнь Фара
Причины болезни Фара
Приводящие к возникновению заболевания этиологические факторы точно не установлены. Предполагают генетический характер патологии с локализацией нарушений в четырнадцатой (локус 14q13), второй (локус 2q37) хромосомах, хромосомном участке q21.1-q11.23 восьмой хромосомы. При исследовании семейных случаев выявлена генетическая гетерогенность. Установлены варианты, когда болезнь наследовалась аутосомно-доминантным и Х-сцепленным путём. Описаны спорадические случаи, при которых семейный характер патологии не прослеживается. Известно, что клиническая манифестация происходит, когда общий объём кальцификатов достигает критической величины – 3,9 см³.
Патогенез
Формирующие болезнь патогенетические механизмы окончательно не определены. Предполагаются генетически детерминированные сдвиги церебрального метаболизма, становящиеся причиной отложения в мозговых тканях избытков кальция. Выраженная кальцификация подкорковых образований становится причиной дезорганизации лобно-субкортикальной системы, регулирующей произвольные движения и обеспечивающей когнитивные функции (память, мышление, внимание).
Морфологически кальцификаты обнаруживаются симметрично в различных структурах: коре мозга, белом веществе, подкорковых ганглиях, внутренней капсуле, мозжечке, стенках мелких артерий, реже вен. Характерно наличие периваскулярных мелких кальциевых конгломератов. Наиболее массивная кальцификация выявляется в подкорковых отделах. Микроскопически кальцификаты отличаются типичной структурой, представленной нитями толщиной 140-400 мкм. Они зачастую содержат минеральные комплексы с включениями железа, меди, алюминия, фосфора, свинца, цинка, кобальта.
Классификация
В практической неврологии болезнь Фара подразделяется на две клинические формы, отличающиеся возрастом манифестации, типом преобладающей симптоматики:
- Ювенильная форма — дебют заболевания происходит в детском или подростковом периоде. Характерны экстрапирамидные нарушения в виде атетоза, хореи, мышечной дистонии. Патология может сопровождаться олигофренией. По мере взросления отмечается смена гиперкинезов паркинсонической симптоматикой.
- Сенильная форма — манифестирует в пожилом и среднем возрасте. Клиническая картина характеризуется доминированием симптомов паркинсонизма в сочетании с когнитивными расстройствами. Типична прогрессирующая деменция.
Симптомы болезни Фара
В типичных случаях болезнь дебютирует появлением утомляемости, неуклюжести движений, шаткости ходьбы, изменений речи, непроизвольных двигательных актов или ночных мышечных спазмов. Основу клинических проявлений составляют экстрапирамидные нарушения. В молодом возрасте это различные гиперкинезы: атетоз — непроизвольные червеобразные движения в пальцах кистей, хореоатетоз — сочетание атетоза с быстрыми насильственными движениями в конечностях, торсионная дистония — тонические мышечные спазмы, придающие телу неестественные позы. У взрослых наблюдается вторичный паркинсонизм: амимия лица, брадикинезия, замедленные скованные движения, шаркающая походка, постуральный тремор.
Симптоматика паркинсонизма зачастую сочетается с мозжечковой атаксией (дискоординация, несоразмерность движений, нистагм), пирамидной недостаточностью (слабость в конечностях, повышенные сухожильные рефлексы, патологические стопные знаки). Возможна дизартрия, дисфагия, недержание мочи. Эпилептические пароксизмы более характерны для ювенильной формы заболевания, могут отмечаться у взрослых.
Сопровождающие болезнь Фара когнитивные нарушения характеризуются снижением памяти на текущие и прошлые события, замедленным мышлением, неустойчивым вниманием, угасанием способности к аналитической и синтетической интеллектуальной деятельности. Прогрессирование расстройств когнитивной сферы у детей приводит к олигофрении, во взрослом возрасте — к развитию корково-подкорковой деменции с элементами агнозии, апраксии, алексии. Однако часть больных ювенильной формой остаются интеллектуально сохранными.
Диагностика
Основным диагностическим методом, позволяющим неврологу достоверно установить наличие очагов кальциноза в мозговых тканях, является КТ головного мозга. Интенсивность очагов на томограммах отражает уровень концентрации кальция. МРТ головного мозга значительно хуже визуализирует кальцификаты, но позволяет оценить сопутствующие дегенеративные процессы. С целью подтверждения идиопатического характера патологии проводится целый ряд дополнительных обследований:
- Биохимический анализ крови. Производится определение электролитов крови: кальция, фосфора, железа, натрия. Отсутствие существенных отклонений позволяет исключить общие обменные нарушения в организме, приводящие к отложению кальция.
- Определение уровня паратгормона . Нормальные показатели концентрации гормона в крови исключают наличие гипопаратиреоза, псевдогипопаратиреоза, как наиболее распространённых причин кальцификации.
- УЗИ щитовидной и паращитовидных желёз. У пациентов с болезнью Фара эхоскопическая картина остается в пределах нормы, что исключает связанные с поражением этих желёз гормонально-обменные нарушения.
- ТКДГ церебральных сосудов. Необходима для оценки мозговой гемодинамики, выявления хронической церебральной ишемии как первопричины дегенеративных изменений, сопровождающихся кальцификацией.
- ПЦР-исследования. Направлены на выявление токсоплазмы, цитомегаловируса и других инфекционных агентов, способных вызывать воспалительные изменения мозговых тканей с образованием кальцификатов.
Диагноз болезнь Фара правомочен после исключения вторичного характера церебральной кальцификации, наблюдающейся при эндокринных (гипопаратиреоз, псевдогипопаратиреоз, гипотиреоз), сосудистых (атеросклероз, амилоидоз сосудов), инфекционных (краснуха, цистицеркоз, токсоплазмоз, цитомегалия) заболеваниях. Дифференциальная диагностика проводится также с болезнью Галлервордена-Шпатца, туберозным склерозом.
Лечение болезни Фара
Поскольку патогенез заболевания остаётся неясным, терапия имеет преимущественно симптоматический характер. С целью улучшения обменных процессов применяются стимуляторы тканевого метаболизма (ацетилкарнитин, глютаминовая кислота, комплекс L-цитруллин+малат, никотинамид), цитопротекторы (рибофлавин, янтарная кислота, мельдоний). При симптомах паркинсонизма предпочтительно назначение фармпрепаратов леводопы, при гиперкинезах — холинолитиков, бензодиазепинов. Наличие эпилептических приступов служит показанием к лечению современными антиконвульсантами (леветирацетамом). В комплексной терапии применяется лечебная физкультура, водолечение, когнитивные тренинги.
Прогноз и профилактика
Клинически проявленная болезнь Фара рассматривается как хроническое нейродегенеративное заболевание. Прогноз выздоровления неблагоприятный, однако, при должном уровне поддерживающей симптоматической терапии состояние пациентов длительное время остаётся удовлетворительным. Субклинический вариант не сказывается на здоровье и когнитивных способностях больного, может быть случайной находкой при проведении компьютерной томографии. Специфические меры, позволяющие предупредить развитие болезни, не разработаны.
Источник